Mouse Monoclonal Antibody to CDK4
Description |
|---|
The protein encoded by this gene is a member of the Ser/Thr protein kinase family. This protein is highly similar to the gene products of S. cerevisiae cdc28 and S. pombe cdc2. It is a catalytic subunit of the protein kinase complex that is important for cell cycle G1 phase progression. The activity of this kinase is restricted to the G1-S phase, which is controlled by the regulatory subunits D-type cyclins and CDK inhibitor p16(INK4a). This kinase was shown to be responsible for the phosphorylation of retinoblastoma gene product (Rb). Mutations in this gene as well as in its related proteins including D-type cyclins, p16(INK4a) and Rb were all found to be associated with tumorigenesis of a variety of cancers. Multiple polyadenylation sites of this gene have been reported. |
References |
|---|
| 1,Cancer Res. 2019 Oct 15;79(20):5245-5259. 2,J Dermatol. 2019 May;46(5):444-448 |
Specification |
|
|---|---|
| Aliases | CMM3; PSK-J3 |
| Entrez GeneID | 1019 |
| Swissprot | P11802 |
| clone | 4A11E2 |
| WB Predicted band size | 33.7kda |
| Host/Isotype | Mouse IgG1 |
| Antibody Type | Primary antibody |
| Storage | Store at 4°C short term. Aliquot and store at -20°C long term. Avoid freeze/thaw cycles. |
| Species Reactivity | Human |
| Immunogen | Purified recombinant fragment of human CDK4 (AA: 77-303) expressed in E. Coli. |
| Formulation | Purified antibody in PBS with 0.05% sodium azide |
Application |
|
|---|---|
| IHC | 1/200 - 1/1000 |
| IF | 1/200 - 1/1000 |
| FCM | 1/200 - 1/400 |
| ELISA | 1/10000 |
Product Image
-
Black line: Control Antigen (100 ng);Purple line: Antigen (10ng); Blue line: Antigen (50 ng); Red line:Antigen (100 ng)

-
Immunofluorescence analysis of Hela cells using CDK4 mouse mAb (green). Blue: DRAQ5 fluorescent DNA dye. Red: Actin filaments have been labeled with Alexa Fluor- 555 phalloidin. Secondary antibody from Fisher (Cat#: 35503)

-
Flow cytometric analysis of K562 cells using CDK4 mouse mAb (green) and negative control (red).

-
Flow cytometric analysis of U937 cells using CDK4 mouse mAb (green) and negative control (red).

-
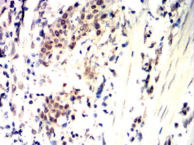
Immunohistochemical analysis of paraffin-embedded human esophageal cancer tissues using CDK4 mouse mAb with DAB staining.

-
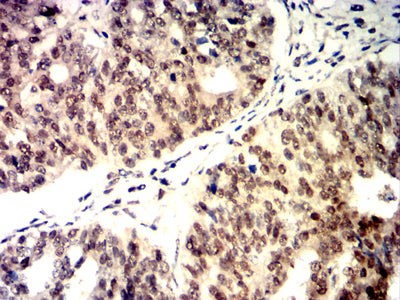
Immunohistochemical analysis of paraffin-embedded human ovarian cancer tissues using CDK4 mouse mAb with DAB staining.







鄂公网安备42018502007531号

