Mouse Monoclonal Antibody to CD319
Description |
|---|
Self-ligand receptor of the signaling lymphocytic activation molecule (SLAM) family. SLAM receptors triggered by homo- or heterotypic cell-cell interactions are modulating the activation and differentiation of a wide variety of immune cells and thus are involved in the regulation and interconnection of both innate and adaptive immune response. Activities are controlled by presence or absence of small cytoplasmic adapter proteins, SH2D1A/SAP and/or SH2D1B/EAT-2. Isoform 1 mediates NK cell activation through a SH2D1A-independent extracellular signal-regulated ERK-mediated pathway (PubMed:11698418). Positively regulates NK cell functions by a mechanism dependent on phosphorylated SH2D1B. Downstream signaling implicates PLCG1, PLCG2 and PI3K (PubMed:16339536). In addition to heterotypic NK cells-target cells interactions also homotypic interactions between NK cells may contribute to activation. However, in the absence of SH2D1B, inhibits NK cell function. Acts also inhibitory in T-cells (By similarity). May play a role in lymphocyte adhesion (PubMed:11802771). In LPS-activated monocytes negatively regulates production of proinflammatory cytokines (PubMed:23695528). |
References |
|---|
| 1,Leuk Lymphoma. 2019 Dec;60(13):3335-3338. 2,J Immunol. 2019 Jan 1;202(1):228-238. |
Specification |
|
|---|---|
| Aliases | 19A; CS1; SLAMF7; CRACC |
| Entrez GeneID | 57823 |
| Swissprot | Q9NQ25 |
| clone | 7A8D5 |
| WB Predicted band size | 37.4kda |
| Host/Isotype | Mouse IgG1 |
| Antibody Type | Primary antibody |
| Storage | Store at 4°C short term. Aliquot and store at -20°C long term. Avoid freeze/thaw cycles. |
| Species Reactivity | Human,Mouse,Rat,Monkey,Rabbit |
| Immunogen | Purified recombinant fragment of human CD319 (AA: extra(23-226)) expressed in E. Coli. |
| Formulation | Purified antibody in PBS with 0.05% sodium azide |
Application |
|
|---|---|
| WB | 1/500 - 1/2000 |
| IHC | 1/100 - 1/500 |
| FCM | 1/200 - 1/400 |
| ELISA | 1/10000 |
Product Image
-
Black line: Control Antigen (100 ng);Purple line: Antigen (10ng); Blue line: Antigen (50 ng); Red line:Antigen (100 ng)

-
Western blot analysis using CD319 mouse mAb against K562 (1), HL-60 (2), Ramos (3), Jurkat (4), and THP-1 (5) cell lysate.

-
Western blot analysis using CD319 mouse mAb against Rat liver(1)PC-12(2)Raw264.7(3)NRK(4)COS-7(5)HL-60(6)Ramos(7) cell lysate.

-
Flow cytometric analysis of K562 cells using CD319 mouse mAb (green) and negative control (red).

-
Flow cytometric analysis of U937 cells using CD319 mouse mAb (green) and negative control (red).

-
Flow cytometric analysis of THP-1 cells using CD319 mouse mAb (green) and negative control (red).

-
Flow cytometric analysis of MOLT4 cells using CD319 mouse mAb (green) and negative control (red).

-
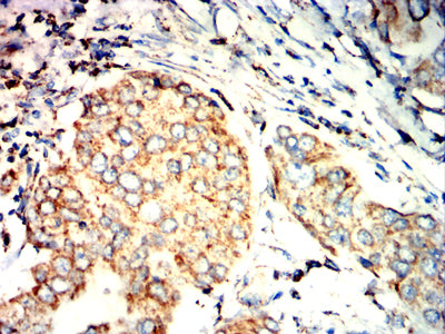
Immunohistochemical analysis of paraffin-embedded human breast cancer tissues using CD319 mouse mAb with DAB staining.

-
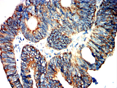
Immunohistochemical analysis of paraffin-embedded human rectal cancer tissues using CD319 mouse mAb with DAB staining.

-
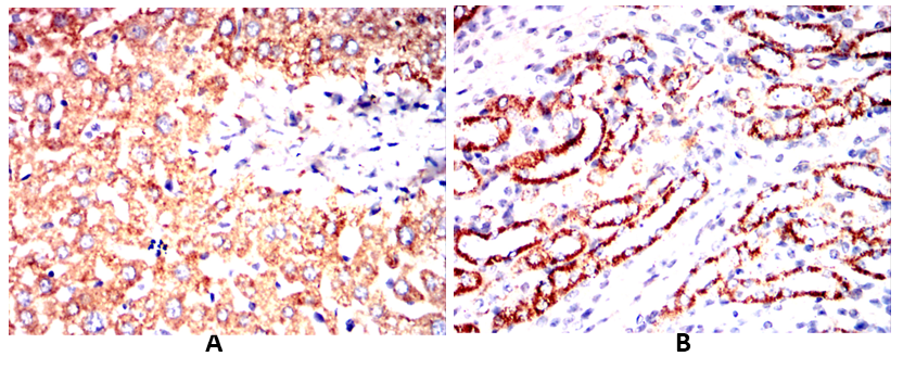
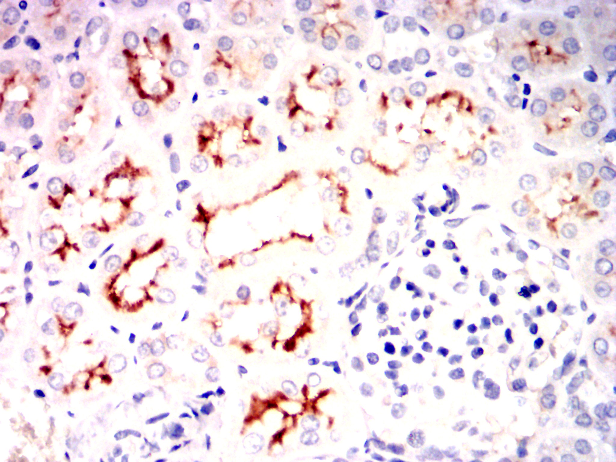
Immunohistochemical analysis of paraffin-embedded Mouse liver(A) Mouse kidney(B) using CD319 mouse mAb with DAB staining.

-
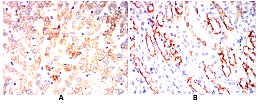
Immunohistochemical analysis of paraffin-embedded Rat liver(A) Rat kidney(B) using CD319 mouse mAb with DAB staining.

-
Immunohistochemical analysis of paraffin-embedded Rabbit kidney using CD319 mouse mAb with DAB staining.













鄂公网安备42018502007531号

