Mouse Monoclonal Antibody to CD300F
货号:
32126
别名:
CLM1; NKIR; CLM-1; IREM1; LMIR3; CD300lf; IREM-1; IgSF13
应用:
IHC,FCM
反应种属:
Human
抗体类型:
Primary antibody
Swissprot:
Q8TDQ1
规格:
目录价
在线咨询
Description |
|---|
This gene encodes a member of the CD300 protein family. Members of this family are cell surface glycoproteins with a single IgV-like extracellular domain, and are involved in the regulation of immune response. The encoded protein is an inhibitory receptor. Alternative splicing results in multiple transcript variants. [provided by RefSeq, Jan 2014] |
References |
|---|
| 1,Brain Pathol. 2012 May;22(3):318-28. 2,J Immunol. 2007 Jan 15;178(2):808-16. |
Specification |
|
|---|---|
| Aliases | CLM1; NKIR; CLM-1; IREM1; LMIR3; CD300lf; IREM-1; IgSF13 |
| Entrez GeneID | 146722 |
| Swissprot | Q8TDQ1 |
| clone | 2G1G7 |
| WB Predicted band size | 32.3kda |
| Host/Isotype | Mouse IgG2b |
| Antibody Type | Primary antibody |
| Storage | Store at 4°C short term. Aliquot and store at -20°C long term. Avoid freeze/thaw cycles. |
| Species Reactivity | Human |
| Immunogen | Purified recombinant fragment of human CD300F (AA: Extra(20-156)) expressed in E. Coli. |
| Formulation | Purified antibody in PBS with 0.05% sodium azide |
Application |
|
|---|---|
| IHC | 1/200 - 1/1000 |
| FCM | 1/200 - 1/400 |
| ELISA | 1/10000 |
Product Image
-
Black line: Control Antigen (100 ng);Purple line: Antigen (10ng); Blue line: Antigen (50 ng); Red line:Antigen (100 ng)

-
Flow cytometric analysis of K562 cells using CD300F mouse mAb (green) and negative control (red).

-
Flow cytometric analysis of Raji cells using CD300F mouse mAb (green) and negative control (red).

-
Flow cytometric analysis of U937 cells using CD300F mouse mAb (green) and negative control (red).

-
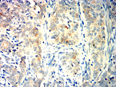
Immunohistochemical analysis of paraffin-embedded human cervical cancer tissues using CD300F mouse mAb with DAB staining.






鄂公网安备42018502007531号

