Mouse Monoclonal Antibody to HDAC1
货号:
32103
别名:
HD1; RPD3; KDAC1; GON-10; RPD3L1
应用:
WB,IHC,IF,FCM
反应种属:
Human, Mouse
抗体类型:
Primary antibody
Swissprot:
Q13547
规格:
目录价
在线咨询
Description |
|---|
Histone acetylation and deacetylation, catalyzed by multisubunit complexes, play a key role in the regulation of eukaryotic gene expression. The protein encoded by this gene belongs to the histone deacetylase/acuc/apha family and is a component of the histone deacetylase complex. It also interacts with retinoblastoma tumor-suppressor protein and this complex is a key element in the control of cell proliferation and differentiation. Together with metastasis-associated protein-2, it deacetylates p53 and modulates its effect on cell growth and apoptosis. |
References |
|---|
| 1.Cell Commun Signal. 2019 Jul 29;17(1):86. 2.Hum Pathol. 2019 Mar;85:194-201. |
Specification |
|
|---|---|
| Aliases | HD1; RPD3; KDAC1; GON-10; RPD3L1 |
| Entrez GeneID | 3065 |
| Swissprot | Q13547 |
| clone | 2A1D3 |
| WB Predicted band size | 55.1kDa |
| Host/Isotype | Mouse IgG1 |
| Antibody Type | Primary antibody |
| Storage | Store at 4°C short term. Aliquot and store at -20°C long term. Avoid freeze/thaw cycles. |
| Species Reactivity | Human, Mouse |
| Immunogen | Purified recombinant fragment of human HDAC1 (AA: 321-482) expressed in E. Coli. |
| Formulation | Purified antibody in PBS with 0.05% sodium azide |
Application |
|
|---|---|
| WB | 1/500 - 1/2000 |
| IHC | 1/200 - 1/1000 |
| IF | 1/200 - 1/1000 |
| FCM | 1/200 - 1/400 |
| ELISA | 1/10000 |
Product Image
-
Black line: Control Antigen (100 ng);Purple line: Antigen (10ng); Blue line: Antigen (50 ng); Red line:Antigen (100 ng)

-
Western blot analysis using HDAC1 mouse mAb against Hela (1), Raw264.7 (2), K562 (3), and Jurkat (4) cell lysate.

-
Immunofluorescence analysis of Hela cells using HDAC1 mouse mAb (green). Secondary antibody from Fisher (Cat#: 35503)

-
Immunofluorescence analysis of Hela cells using HDAC1 mouse mAb (green). Blue: DRAQ5 fluorescent DNA dye. Red: Actin filaments have been labeled with Alexa Fluor- 555 phalloidin. Secondary antibody from Fisher (Cat#: 35503)

-
Flow cytometric analysis of Hela cells using HDAC1 mouse mAb (green) and negative control (red).

-
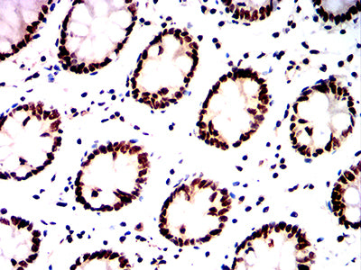
Immunohistochemical analysis of paraffin-embedded human colon tissues using HDAC1 mouse mAb with DAB staining.

-
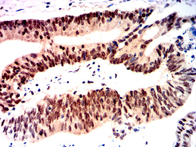
Immunohistochemical analysis of paraffin-embedded human colon cancer tissues using HDAC1 mouse mAb with DAB staining.








鄂公网安备42018502007531号

