Mouse Monoclonal Antibody to KRT2
货号:
32104
别名:
K2e; KRTE; CK-2e; KRT2A; KRT2E
应用:
WB,IHC,IF,FCM
反应种属:
Human
抗体类型:
Primary antibody
Swissprot:
P35908
规格:
目录价
在线咨询
Description |
|---|
The protein encoded by this gene is a member of the keratin gene family. The type II cytokeratins consist of basic or neutral proteins which are arranged in pairs of heterotypic keratin chains coexpressed during differentiation of simple and stratified epithelial tissues. This type II cytokeratin is expressed largely in the upper spinous layer of epidermal keratinocytes and mutations in this gene have been associated with bullous congenital ichthyosiform erythroderma. The type II cytokeratins are clustered in a region of chromosome 12q12-q13. |
References |
|---|
| 1.J Dermatol Sci. 2016 Jan;81(1):10-6. 2.Acta Histochem. 2016 Jun;118(5):505-12. |
Specification |
|
|---|---|
| Aliases | K2e; KRTE; CK-2e; KRT2A; KRT2E |
| Entrez GeneID | 3849 |
| Swissprot | P35908 |
| clone | 1A2B5 |
| WB Predicted band size | 65.4kDa |
| Host/Isotype | Mouse IgG2a |
| Antibody Type | Primary antibody |
| Storage | Store at 4°C short term. Aliquot and store at -20°C long term. Avoid freeze/thaw cycles. |
| Species Reactivity | Human |
| Immunogen | Purified recombinant fragment of human KRT2 (AA: 177-490) expressed in E. Coli. |
| Formulation | Purified antibody in PBS with 0.05% sodium azide |
Application |
|
|---|---|
| WB | 1/500 - 1/2000 |
| IHC | 1/200 - 1/1000 |
| IF | 1/200 - 1/1000 |
| FCM | 1/200 - 1/400 |
| ELISA | 1/10000 |
Product Image
-
Black line: Control Antigen (100 ng);Purple line: Antigen (10ng); Blue line: Antigen (50 ng); Red line:Antigen (100 ng)

-
Western blot analysis using KRT2 mouse mAb against A431 (1) cell lysate.

-
Immunofluorescence analysis of Hela cells using KRT2 mouse mAb (green). Blue: DRAQ5 fluorescent DNA dye. Red: Actin filaments have been labeled with Alexa Fluor- 555 phalloidin. Secondary antibody from Fisher (Cat#: 35503)

-
Flow cytometric analysis of Hela cells using KRT2 mouse mAb (green) and negative control (red).

-
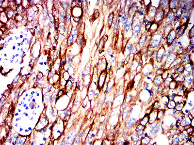
Immunohistochemical analysis of paraffin-embedded human lung cancer tissues using KRT2 mouse mAb with DAB staining.

-
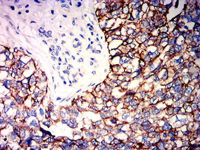
Immunohistochemical analysis of paraffin-embedded human bladder cancer tissues using KRT2 mouse mAb with DAB staining.







鄂公网安备42018502007531号

