Mouse Monoclonal Antibody to MSH2
货号:
32079
别名:
FCC1; COCA1; HNPCC; LCFS2; hMSH2; HNPCC1; MMRCS2
应用:
WB,IHC,FCM
反应种属:
Human
抗体类型:
Primary antibody
Swissprot:
P43246
规格:
目录价
在线咨询
Description |
|---|
This locus is frequently mutated in hereditary nonpolyposis colon cancer (HNPCC). When cloned, it was discovered to be a human homolog of the E. coli mismatch repair gene mutS, consistent with the characteristic alterations in microsatellite sequences (RER+ phenotype) found in HNPCC. Two transcript variants encoding different isoforms have been found for this gene. |
References |
|---|
| 1,Clin Epigenetics. 2019 Oct 30;11(1):153. 2,Genes Chromosomes Cancer. 2020 Feb;59(2):111-118. |
Specification |
|
|---|---|
| Aliases | FCC1; COCA1; HNPCC; LCFS2; hMSH2; HNPCC1; MMRCS2 |
| Entrez GeneID | 4436 |
| Swissprot | P43246 |
| clone | 1H8C1 |
| WB Predicted band size | 104.7kDa |
| Host/Isotype | Mouse IgG1 |
| Antibody Type | Primary antibody |
| Storage | Store at 4°C short term. Aliquot and store at -20°C long term. Avoid freeze/thaw cycles. |
| Species Reactivity | Human |
| Immunogen | Purified recombinant fragment of human MSH2 (AA: 2-151) expressed in E. Coli. |
| Formulation | Purified antibody in PBS with 0.05% sodium azide |
Application |
|
|---|---|
| WB | 1/500 - 1/2000 |
| IHC | 1/200 - 1/1000 |
| FCM | 1/200 - 1/400 |
| ELISA | 1/10000 |
Product Image
-
Black line: Control Antigen (100 ng);Purple line: Antigen (10ng); Blue line: Antigen (50 ng); Red line:Antigen (100 ng)

-
Western blot analysis using MSH2 mouse mAb against MCF-7 (1), A431 (2),K562 (3),Hela (4), Raji (5),and A549 (6) cell lysate.

-
Flow cytometric analysis of Hela cells using MSH2 mouse mAb (green) and negative control (red).

-
Flow cytometric analysis of K562 cells using MSH2 mouse mAb (green) and negative control (red).

-
Flow cytometric analysis of Raji cells using MSH2 mouse mAb (green) and negative control (red).

-
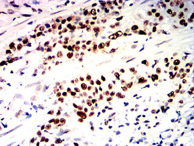
Immunohistochemical analysis of paraffin-embedded human esophageal cancer tissues using MSH2 mouse mAb with DAB staining.

-
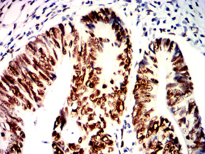
Immunohistochemical analysis of paraffin-embedded human rectal cancer tissues using MSH2 mouse mAb with DAB staining.








鄂公网安备42018502007531号

