Mouse Monoclonal Antibody to TNFSF9
Description |
|---|
The protein encoded by this gene is a cytokine that belongs to the tumor necrosis factor (TNF) ligand family. This transmembrane cytokine is a bidirectional signal transducer that acts as a ligand for TNFRSF9/4-1BB, which is a costimulatory receptor molecule in T lymphocytes. This cytokine and its receptor are involved in the antigen presentation process and in the generation of cytotoxic T cells. The receptor TNFRSF9/4-1BB is absent from resting T lymphocytes but rapidly expressed upon antigenic stimulation. The ligand encoded by this gene, TNFSF9/4-1BBL, has been shown to reactivate anergic T lymphocytes in addition to promoting T lymphocyte proliferation. This cytokine has also been shown to be required for the optimal CD8 responses in CD8 T cells. This cytokine is expressed in carcinoma cell lines, and is thought to be involved in T cell-tumor cell interaction. |
References |
|---|
| 1,Front Immunol. 2019 Oct 2;10:2216. 2,J Dig Dis. 2017 Jul;18(7):395-403. |
Specification |
|
|---|---|
| Aliases | CD137L; TNLG5A; 4-1BB-L |
| Entrez GeneID | 8744 |
| Swissprot | P41273 |
| clone | 6H10B5 |
| WB Predicted band size | 27kDa |
| Host/Isotype | Mouse IgG2b |
| Antibody Type | Primary antibody |
| Storage | Store at 4°C short term. Aliquot and store at -20°C long term. Avoid freeze/thaw cycles. |
| Species Reactivity | Human |
| Immunogen | Purified recombinant fragment of human TNFSF9 (AA: Extra(50-254)) expressed in E. Coli. |
| Formulation | Purified antibody in PBS with 0.05% sodium azide |
Application |
|
|---|---|
| IHC | 1/200 - 1/1000 |
| IF | 1/200 - 1/1000 |
| FCM | 1/200 - 1/400 |
| ELISA | 1/10000 |
Product Image
-
Black line: Control Antigen (100 ng);Purple line: Antigen (10ng); Blue line: Antigen (50 ng); Red line:Antigen (100 ng)

-
Immunofluorescence analysis of Hela cells using TNFSF9 mouse mAb (green). Blue: DRAQ5 fluorescent DNA dye. Red: Actin filaments have been labeled with Alexa Fluor- 555 phalloidin. Secondary antibody from Fisher (Cat#: 35503)

-
Flow cytometric analysis of Raji cells using TNFSF9 mouse mAb (green) and negative control (red).

-
Flow cytometric analysis of Jurkat cells using TNFSF9 mouse mAb (green) and negative control (red).

-
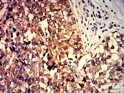
Immunohistochemical analysis of paraffin-embedded human bladder cancer tissues using TNFSF9 mouse mAb with DAB staining.

-
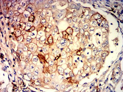
Immunohistochemical analysis of paraffin-embedded human lung cancer tissues using TNFSF9 mouse mAb with DAB staining.

-
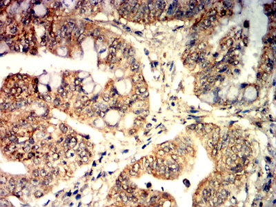
Immunohistochemical analysis of paraffin-embedded human rectal cancer tissues using TNFSF9 mouse mAb with DAB staining.








鄂公网安备42018502007531号

