Mouse Monoclonal Antibody to ALK/p80
Description |
|---|
This gene encodes a receptor tyrosine kinase, which belongs to the insulin receptor superfamily. This protein comprises an extracellular domain, an hydrophobic stretch corresponding to a single pass transmembrane region, and an intracellular kinase domain. It plays an important role in the development of the brain and exerts its effects on specific neurons in the nervous system. This gene has been found to be rearranged, mutated, or amplified in a series of tumours including anaplastic large cell lymphomas, neuroblastoma, and non-small cell lung cancer. The chromosomal rearrangements are the most common genetic alterations in this gene, which result in creation of multiple fusion genes in tumourigenesis, including ALK (chromosome 2)/EML4 (chromosome 2), ALK/RANBP2 (chromosome 2), ALK/ATIC (chromosome 2), ALK/TFG (chromosome 3), ALK/NPM1 (chromosome 5), ALK/SQSTM1 (chromosome 5), ALK/KIF5B (chromosome 10), ALK/CLTC (chromosome 17), ALK/TPM4 (chromosome 19), and ALK/MSN (chromosome X). |
References |
|---|
| 1.BMC Cancer. 2020 May 27;20(1):479. 2.Pathol Res Pract. 2019 Dec;215(12):152669. |
Specification |
|
|---|---|
| Aliases | CD246; NBLST3 |
| Entrez GeneID | 238 |
| Swissprot | Q9UM73 |
| clone | 8C9A2 |
| WB Predicted band size | 176.4kDa |
| Host/Isotype | Mouse IgG1 |
| Antibody Type | Primary antibody |
| Storage | Store at 4°C short term. Aliquot and store at -20°C long term. Avoid freeze/thaw cycles. |
| Species Reactivity | Human |
| Immunogen | Purified recombinant fragment of human ALK/p80 (AA: 1359-1460) expressed in E. Coli. |
| Formulation | Purified antibody in PBS with 0.05% sodium azide |
Application |
|
|---|---|
| WB | 1/500 - 1/2000 |
| IHC | 1/200 - 1/1000 |
| FCM | 1/200 - 1/400 |
| ELISA | 1/10000 |
Product Image
-
Black line: Control Antigen (100 ng);Purple line: Antigen (10ng); Blue line: Antigen (50 ng); Red line:Antigen (100 ng)

-
Western blot analysis using ALK/p80 mouse mAb against SK-N-SH (1) cell lysate.

-
Flow cytometric analysis of K562 cells using ALK/p80 mouse mAb (green) and negative control (red).

-
Immunohistochemical analysis of paraffin-embedded human bladder cancer tissues using ALK/p80 mouse mAb with DAB staining.

-
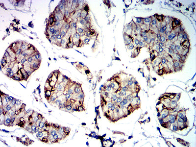
Immunohistochemical analysis of paraffin-embedded human stomach tissues using ALK/p80 mouse mAb with DAB staining.






鄂公网安备42018502007531号

