Mouse Monoclonal Antibody to SIGLEC8
货号:
32095
别名:
SAF2; SIGLEC-8; SIGLEC8L
应用:
WB,IHC,FCM
反应种属:
Human, Mouse, Rat
抗体类型:
Primary antibody
Swissprot:
Q9NYZ4
规格:
目录价
在线咨询
Description |
|---|
Sialic acid-binding immunoglobulin (Ig)-like lectins, or SIGLECs (e.g., CD33 (MIM 159590)), are a family of type 1 transmembrane proteins each having a unique expression pattern, mostly in hemopoietic cells. SIGLEC8 is a member of the CD33-like subgroup of SIGLECs, which are localized to 19q13.3-q13.4 and have 2 conserved cytoplasmic tyrosine-based motifs: an immunoreceptor tyrosine-based inhibitory motif, or ITIM (see MIM 604964), and a motif homologous to one identified in signaling lymphocyte activation molecule (SLAM; MIM 603492) that mediates an association with SLAM-associated protein (SAP; MIM 300490) (summarized by Foussias et al., 2000 [PubMed 11095983]) |
References |
|---|
| 1.J Allergy Clin Immunol. 2019 Jun;143(6):2227-2237.e10. 2.Tumour Biol. 2016 Aug;37(8):10883-91. |
Specification |
|
|---|---|
| Aliases | SAF2; SIGLEC-8; SIGLEC8L |
| Entrez GeneID | 27181 |
| Swissprot | Q9NYZ4 |
| clone | 1A5B9 |
| WB Predicted band size | 54kDa |
| Host/Isotype | Mouse IgG2b |
| Antibody Type | Primary antibody |
| Storage | Store at 4°C short term. Aliquot and store at -20°C long term. Avoid freeze/thaw cycles. |
| Species Reactivity | Human, Mouse, Rat |
| Immunogen | Purified recombinant fragment of human SIGLEC8 (AA: extra 17-216) expressed in E. Coli. |
| Formulation | Purified antibody in PBS with 0.05% sodium azide |
Application |
|
|---|---|
| WB | 1/500 - 1/2000 |
| IHC | 1/200 - 1/1000 |
| FCM | 1/200 - 1/400 |
| ELISA | 1/10000 |
Product Image
-
Black line: Control Antigen (100 ng);Purple line: Antigen (10ng); Blue line: Antigen (50 ng); Red line:Antigen (100 ng)

-
Western blot analysis using SIGLEC8 mouse mAb against mouse Liver (1), rat Liver (2)tissues lysate, MCF-7 (3), and HT-29 (4) cell lysate.

-
Flow cytometric analysis of Jurkat cells using SIGLEC8 mouse mAb (green) and negative control (red).

-
Immunohistochemical analysis of paraffin-embedded human prostate cancer tissues using SIGLEC8 mouse mAb with DAB staining.

-
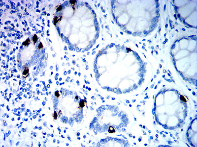
Immunohistochemical analysis of paraffin-embedded human rectum tissues using SIGLEC8 mouse mAb with DAB staining.






鄂公网安备42018502007531号

