Mouse Monoclonal Antibody to C5AR2
货号:
32083
别名:
C5L2; GPF77; GPR77
应用:
WB,IHC,FCM
反应种属:
Human
抗体类型:
Primary antibody
Swissprot:
Q9P296
规格:
目录价
在线咨询
Description |
|---|
This gene encodes a G-protein coupled receptor 1 family member involved in the complement system of the innate immune response. Unlike classical G-protein coupled receptors, the encoded protein does not associate with intracellular G-proteins. It may instead modulate signal transduction through the beta-arrestin pathway, and may alternatively act as a decoy receptor. This gene may be involved in coronary artery disease and in the pathogenesis of sepsis. Alternative splicing results in multiple transcript variants. |
References |
|---|
| 1,Oncotarget. 2017 Jan 31;8(5):8590-8596. 2,J Dent Res. 2017 Jan;96(1):92-99. |
Specification |
|
|---|---|
| Aliases | C5L2; GPF77; GPR77 |
| Entrez GeneID | 27202 |
| Swissprot | Q9P296 |
| clone | 6D4A4 |
| WB Predicted band size | 36kDa |
| Host/Isotype | Mouse IgG2b |
| Antibody Type | Primary antibody |
| Storage | Store at 4°C short term. Aliquot and store at -20°C long term. Avoid freeze/thaw cycles. |
| Species Reactivity | Human |
| Immunogen | Purified recombinant fragment of human C5AR2 (AA: extra mix) expressed in E. Coli. |
| Formulation | Purified antibody in PBS with 0.05% sodium azide |
Application |
|
|---|---|
| WB | 1/500 - 1/2000 |
| IHC | 1/200 - 1/1000 |
| FCM | 1/200 - 1/400 |
| ELISA | 1/10000 |
Product Image
-
Black line: Control Antigen (100 ng);Purple line: Antigen (10ng); Blue line: Antigen (50 ng); Red line:Antigen (100 ng)

-
Western blot analysis using C5AR2 mouse mAb against K562 (1),THP-1 (2), and MOLT4 (3) cell lysate.

-
Flow cytometric analysis of MOLT4 cells using C5AR2 mouse mAb (green) and negative control (red).

-
Flow cytometric analysis of HL-60 cells using C5AR2 mouse mAb (green) and negative control (red).

-
Flow cytometric analysis of RAW264.7 cells using C5AR2 mouse mAb (green) and negative control (red).

-
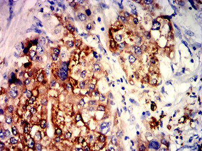
Immunohistochemical analysis of paraffin-embedded human liver cancer tissues using C5AR2 mouse mAb with DAB staining.







鄂公网安备42018502007531号

