Mouse Monoclonal Antibody to KRT15
货号:
32069
别名:
K15; CK15; K1CO
应用:
WB,IHC,FCM
反应种属:
Human
抗体类型:
Primary antibody
Swissprot:
P19012
规格:
目录价
在线咨询
Description |
|---|
The protein encoded by this gene is a member of the keratin gene family. The keratins are intermediate filament proteins responsible for the structural integrity of epithelial cells and are subdivided into cytokeratins and hair keratins. Most of the type I cytokeratins consist of acidic proteins which are arranged in pairs of heterotypic keratin chains and are clustered in a region on chromosome 17q21.2. |
References |
|---|
| 1.Arkh Patol. 2019;81(5):30-34. 2.J Cutan Pathol. 2011 May;38(5):407-14. |
Specification |
|
|---|---|
| Aliases | K15; CK15; K1CO |
| Entrez GeneID | 3866 |
| Swissprot | P19012 |
| clone | 1B6A9 |
| WB Predicted band size | 49.2Kda |
| Host/Isotype | Mouse IgG1 |
| Antibody Type | Primary antibody |
| Storage | Store at 4°C short term. Aliquot and store at -20°C long term. Avoid freeze/thaw cycles. |
| Species Reactivity | Human |
| Immunogen | Purified recombinant fragment of human KRT15 (AA: 105-456) expressed in E. Coli. |
| Formulation | Purified antibody in PBS with 0.05% sodium azide |
Application |
|
|---|---|
| WB | 1/500 - 1/2000 |
| IHC | 1/200 - 1/1000 |
| FCM | 1/200 - 1/400 |
| ELISA | 1/10000 |
Product Image
-
Black line: Control Antigen (100 ng);Purple line: Antigen (10ng); Blue line: Antigen (50 ng); Red line:Antigen (100 ng)

-
Western blot analysis using KRT15 mouse mAb against A431 (1) and Hela (2) cell lysate.

-
Flow cytometric analysis of PC-3 cells using KRT15 mouse mAb (green) and negative control (red).

-
Flow cytometric analysis of Hela cells using KRT15 mouse mAb (green) and negative control (red).

-
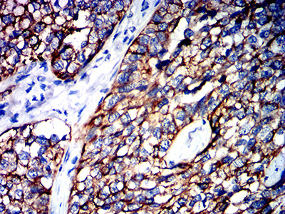
Immunohistochemical analysis of paraffin-embedded human bladder cancer tissues using KRT15 mouse mAb with DAB staining.

-
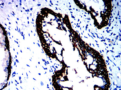
Immunohistochemical analysis of paraffin-embedded human prostate cancer tissues using KRT15 mouse mAb with DAB staining.







鄂公网安备42018502007531号

