Mouse Monoclonal Antibody to CD281
Description |
|---|
The protein encoded by this gene is a member of the Toll-like receptor (TLR) family which plays a fundamental role in pathogen recognition and activation of innate immunity. TLRs are highly conserved from Drosophila to humans and share structural and functional similarities. They recognize pathogen-associated molecular patterns (PAMPs) that are expressed on infectious agents, and mediate the production of cytokines necessary for the development of effective immunity. The various TLRs exhibit different patterns of expression. This gene is ubiquitously expressed, and at higher levels than other TLR genes. Different length transcripts presumably resulting from use of alternative polyadenylation site, and/or from alternative splicing, have been noted for this gene. |
References |
|---|
| 1.Biomed Environ Sci. 2016 Nov;29(11):825-828. 2.Transpl Immunol. 2016 Sep;38:60-6. |
Specification |
|
|---|---|
| Aliases | TLR1; TIL; rsc786; TIL. LPRS5 |
| Entrez GeneID | 7096 |
| Swissprot | Q15399 |
| clone | 8C1G8 |
| WB Predicted band size | 90.2kDa |
| Host/Isotype | Mouse IgG1 |
| Antibody Type | Primary antibody |
| Storage | Store at 4°C short term. Aliquot and store at -20°C long term. Avoid freeze/thaw cycles. |
| Species Reactivity | Human |
| Immunogen | Purified recombinant fragment of human CD281 (AA: extra 172-425) expressed in E. Coli. |
| Formulation | Purified antibody in PBS with 0.05% sodium azide |
Application |
|
|---|---|
| IHC | 1/200 - 1/1000 |
| IF | 1/200 - 1/1000 |
| FCM | 1/200 - 1/400 |
| ELISA | 1/10000 |
Product Image
-
Black line: Control Antigen (100 ng);Purple line: Antigen (10ng); Blue line: Antigen (50 ng); Red line:Antigen (100 ng)

-
Immunofluorescence analysis of Hela cells using CD281 mouse mAb (green). Blue: DRAQ5 fluorescent DNA dye. Red: Actin filaments have been labeled with Alexa Fluor- 555 phalloidin. Secondary antibody from Fisher (Cat#: 35503)

-
Flow cytometric analysis of THP-1 cells using CD281 mouse mAb (green) and negative control (red).

-
Immunohistochemical analysis of paraffin-embedded human lung tissues using CD281 mouse mAb with DAB staining.

-
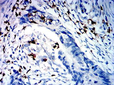
Immunohistochemical analysis of paraffin-embedded human rectum cancer tissues using CD281 mouse mAb with DAB staining.






鄂公网安备42018502007531号

