Mouse Monoclonal Antibody to CD147
货号:
32070
别名:
BSG; OK; 5F7; TCSF; EMMPRIN
应用:
IHC,IF,FCM
反应种属:
Human
抗体类型:
Primary antibody
Swissprot:
P35613
规格:
目录价
在线咨询
Description |
|---|
The protein encoded by this gene is a plasma membrane protein that is important in spermatogenesis, embryo implantation, neural network formation, and tumor progression. The encoded protein is also a member of the immunoglobulin superfamily. Multiple transcript variants encoding different isoforms have been found for this gene. |
References |
|---|
| 1.Oncotarget. 2016 Feb 2;7(5):5613-29. 2.J Biochem. 2016 May;159(5):481-90. |
Specification |
|
|---|---|
| Aliases | BSG; OK; 5F7; TCSF; EMMPRIN |
| Entrez GeneID | 682 |
| Swissprot | P35613 |
| clone | 2D3A9 |
| WB Predicted band size | 42.2kDa |
| Host/Isotype | Mouse IgG1 |
| Antibody Type | Primary antibody |
| Storage | Store at 4°C short term. Aliquot and store at -20°C long term. Avoid freeze/thaw cycles. |
| Species Reactivity | Human |
| Immunogen | Purified recombinant fragment of human CD147 (AA: extra 138-323) expressed in E. Coli. |
| Formulation | Purified antibody in PBS with 0.05% sodium azide |
Application |
|
|---|---|
| IHC | 1/200 - 1/1000 |
| IF | 1/50 - 1/200 |
| FCM | 1/200 - 1/400 |
| ELISA | 1/10000 |
Product Image
-
Black line: Control Antigen (100 ng);Purple line: Antigen (10ng); Blue line: Antigen (50 ng); Red line:Antigen (100 ng)

-
Immunofluorescence analysis of Hela cells using CD147 mouse mAb (green). Blue: DRAQ5 fluorescent DNA dye. Red: Actin filaments have been labeled with Alexa Fluor- 555 phalloidin. Secondary antibody from Fisher (Cat#: 35503)

-
Flow cytometric analysis of THP-1 cells using CD147 mouse mAb (green) and negative control (red).

-
Immunohistochemical analysis of paraffin-embedded human ovarian cancer tissues using CD147 mouse mAb with DAB staining.

-
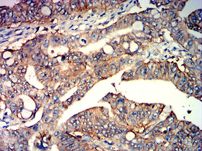
Immunohistochemical analysis of paraffin-embedded human rectum cancer tissues using CD147 mouse mAb with DAB staining.






鄂公网安备42018502007531号

