Mouse Monoclonal Antibody to CD10
Description |
|---|
This gene encodes a common acute lymphocytic leukemia antigen that is an important cell surface marker in the diagnosis of human acute lymphocytic leukemia (ALL). This protein is present on leukemic cells of pre-B phenotype, which represent 85% of cases of ALL. This protein is not restricted to leukemic cells, however, and is found on a variety of normal tissues. It is a glycoprotein that is particularly abundant in kidney, where it is present on the brush border of proximal tubules and on glomerular epithelium. The protein is a neutral endopeptidase that cleaves peptides at the amino side of hydrophobic residues and inactivates several peptide hormones including glucagon, enkephalins, substance P, neurotensin, oxytocin, and bradykinin. This gene, which encodes a 100-kD type II transmembrane glycoprotein, exists in a single copy of greater than 45 kb. The 5' untranslated region of this gene is alternatively spliced, resulting in four separate mRNA transcripts. The coding region is not affected by alternative splicing. |
References |
|---|
| 1,Pathol Res Pract. 2012 May 15;208(5):281-5. 2,J Dermatol Sci. 2013 Feb;69(2):105-13. |
Specification |
|
|---|---|
| Aliases | MME; NEP; SFE; CALLA |
| Entrez GeneID | 4311 |
| Swissprot | P08473 |
| clone | 1H8C10 |
| WB Predicted band size | 85kDa |
| Host/Isotype | Mouse IgG2b |
| Antibody Type | Primary antibody |
| Storage | Store at 4°C short term. Aliquot and store at -20°C long term. Avoid freeze/thaw cycles. |
| Species Reactivity | Human |
| Immunogen | Purified recombinant fragment of human CD10 (AA: (651-750)) expressed in E. Coli. |
| Formulation | Purified antibody in PBS with 0.05% sodium azide |
Application |
|
|---|---|
| WB | 1/500 - 1/2000 |
| IHC | 1/200 - 1/1000 |
| FCM | 1/200 - 1/400 |
| ELISA | 1/10000 |
Product Image
-
Black line: Control Antigen (100 ng);Purple line: Antigen (10ng); Blue line: Antigen (50 ng); Red line:Antigen (100 ng)

-
Western blot analysis using CD10 mouse mAb against Raji (1), Ramos (2), and LNcap (3) cell lysate.

-
Flow cytometric analysis of Hela cells using CD10 mouse mAb (green) and negative control (red).

-
Flow cytometric analysis of THP-1 cells using CD10 mouse mAb (green) and negative control (red).

-
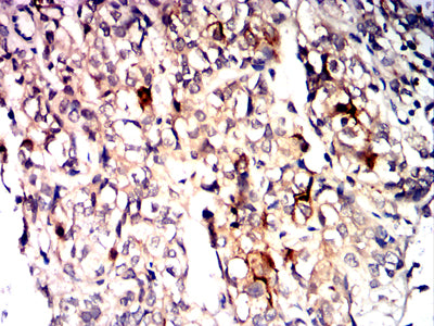
Immunohistochemical analysis of paraffin-embedded human bladder cancer tissues using CD10 mouse mAb with DAB staining.

-
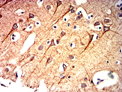
Immunohistochemical analysis of paraffin-embedded human brain tissues using CD10 mouse mAb with DAB staining.







鄂公网安备42018502007531号

