Mouse Monoclonal Antibody to TACSTD2
货号:
32072
别名:
EGP1; GP50; M1S1; EGP-1; TROP2; GA7331; GA733-1
应用:
WB,IHC,FCM
反应种属:
Human
抗体类型:
Primary antibody
Swissprot:
P09758
规格:
目录价
在线咨询
Description |
|---|
This intronless gene encodes a carcinoma-associated antigen. This antigen is a cell surface receptor that transduces calcium signals. Mutations of this gene have been associated with gelatinous drop-like corneal dystrophy.[provided by RefSeq, Dec 2009] |
References |
|---|
| 1,Med Sci Monit. 2020 Jan 22;26:e919566. 2,Sci Rep. 2020 Jan 22;10(1):973. |
Specification |
|
|---|---|
| Aliases | EGP1; GP50; M1S1; EGP-1; TROP2; GA7331; GA733-1 |
| Entrez GeneID | 4070 |
| Swissprot | P09758 |
| clone | 6H10B11 |
| WB Predicted band size | 25.5kDa |
| Host/Isotype | Mouse IgG2b |
| Antibody Type | Primary antibody |
| Storage | Store at 4°C short term. Aliquot and store at -20°C long term. Avoid freeze/thaw cycles. |
| Species Reactivity | Human |
| Immunogen | Purified recombinant fragment of human TACSTD2 (AA: Extra(27-274)) expressed in E. Coli. |
| Formulation | Purified antibody in PBS with 0.05% sodium azide |
Application |
|
|---|---|
| WB | 1/500 - 1/2000 |
| IHC | 1/200 - 1/1000 |
| FCM | 1/200 - 1/400 |
| ELISA | 1/10000 |
Product Image
-
Black line: Control Antigen (100 ng);Purple line: Antigen (10ng); Blue line: Antigen (50 ng); Red line:Antigen (100 ng)

-
Western blot analysis using TACSTD2 mouse mAb against A431 (1), HCT116 (2), PC-3 (3), MCF-7 (4), SK-Br-3 (5), T47D (6), HEK293 (7), and HEK293-6e (8) cell lysate.

-
Flow cytometric analysis of BEL-7402 cells using TACSTD2 mouse mAb (green) and negative control (red).

-
Flow cytometric analysis of HepG2 cells using TACSTD2 mouse mAb (green) and negative control (red).

-
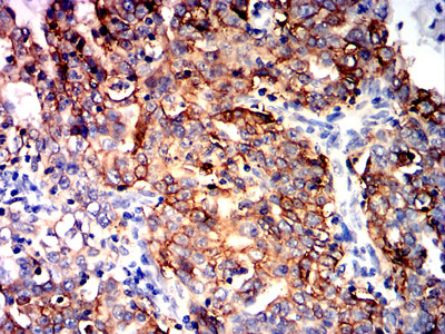
Immunohistochemical analysis of paraffin-embedded human cervical cancer tissues using TACSTD2 mouse mAb with DAB staining.

-
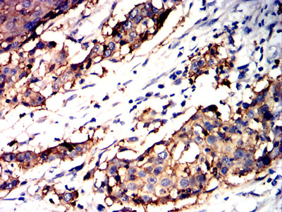
Immunohistochemical analysis of paraffin-embedded human esophageal cancer tissues using TACSTD2 mouse mAb with DAB staining.







鄂公网安备42018502007531号

