Mouse Monoclonal Antibody to ABCA1
货号:
32075
别名:
TGD; ABC1; CERP; ABC-1; HDLDT1; HPALP1; HDLCQTL13
应用:
IHC,IF,FCM
反应种属:
Human,Mouse,Rat,Rabbit,Monkey
抗体类型:
Primary antibody
Swissprot:
O95477
规格:
目录价
在线咨询
Description |
|---|
The membrane-associated protein encoded by this gene is a member of the superfamily of ATP-binding cassette (ABC) transporters. ABC proteins transport various molecules across extra- and intracellular membranes. ABC genes are divided into seven distinct subfamilies (ABC1, MDR/TAP, MRP, ALD, OABP, GCN20, White). This protein is a member of the ABC1 subfamily. Members of the ABC1 subfamily comprise the only major ABC subfamily found exclusively in multicellular eukaryotes. With cholesterol as its substrate, this protein functions as a cholesteral efflux pump in the cellular lipid removal pathway. Mutations in both alleles of this gene cause Tangier disease and familial high-density lipoprotein (HDL) deficiency. |
References |
|---|
| 1,Life Sci. 2020 Oct 15;259:118390. 2,Medicine (Baltimore). 2020 Jan;99(4):e18662. |
Specification |
|
|---|---|
| Aliases | TGD; ABC1; CERP; ABC-1; HDLDT1; HPALP1; HDLCQTL13 |
| Entrez GeneID | 19 |
| Swissprot | O95477 |
| clone | 6B7A11 |
| WB Predicted band size | 254 kDa |
| Host/Isotype | Mouse IgG2a |
| Antibody Type | Primary antibody |
| Storage | Store at 4°C short term. Aliquot and store at -20°C long term. Avoid freeze/thaw cycles. |
| Species Reactivity | Human,Mouse,Rat,Rabbit,Monkey |
| Immunogen | Purified recombinant fragment of human ABCA1 (AA: 2081-2261) expressed in E. Coli. |
| Formulation | Purified antibody in PBS with 0.05% sodium azide |
Application |
|
|---|---|
| IHC | 1/100 - 1/500 |
| IF | 1/200 - 1/1000 |
| FCM | 1/200 - 1/400 |
Product Image
-
Immunofluorescence analysis of Hela cells using ABCA1 mouse mAb (green). Blue: DRAQ5 fluorescent DNA dye. Red: Actin filaments have been labeled with Alexa Fluor- 555 phalloidin. Secondary antibody from Fisher (Cat#: 35503)

-
Flow cytometric analysis of bel-7402 cells using ABCA1 mouse mAb (green) and negative control (red).

-
Flow cytometric analysis of Hela cells using ABCA1 mouse mAb (green) and negative control (red).

-
Flow cytometric analysis of Hepg2 cells using ABCA1 mouse mAb (green) and negative control (red).

-
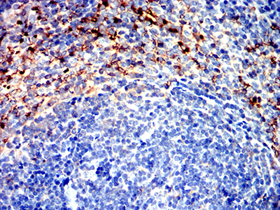
Immunohistochemical analysis of paraffin-embedded Mouse spleen using ABCA1 mouse mAb with DAB staining.

-
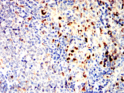
Immunohistochemical analysis of paraffin-embedded Rat spleen using ABCA1 mouse mAb with DAB staining.

-
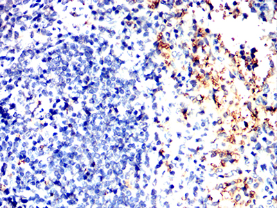
Immunohistochemical analysis of paraffin-embedded Rabbit spleen using ABCA1 mouse mAb with DAB staining.








鄂公网安备42018502007531号

