Mouse Monoclonal Antibody to CD321
货号:
32056
别名:
F11R;JAM; KAT; JAM1; JAMA; JCAM; PAM-1
应用:
IHC,IF,FCM
反应种属:
Human
抗体类型:
Primary antibody
Swissprot:
Q9Y624
规格:
目录价
在线咨询
Description |
|---|
Tight junctions represent one mode of cell-to-cell adhesion in epithelial or endothelial cell sheets, forming continuous seals around cells and serving as a physical barrier to prevent solutes and water from passing freely through the paracellular space. The protein encoded by this immunoglobulin superfamily gene member is an important regulator of tight junction assembly in epithelia. In addition, the encoded protein can act as (1) a receptor for reovirus, (2) a ligand for the integrin LFA1, involved in leukocyte transmigration, and (3) a platelet receptor. Multiple 5' alternatively spliced variants, encoding the same protein, have been identified but their biological validity has not been established. |
References |
|---|
| 1.Leukemia. 2018 Mar;32(3):736-743. 2.PLoS One. 2017 Oct 13;12(10):e0181502. |
Specification |
|
|---|---|
| Aliases | F11R;JAM; KAT; JAM1; JAMA; JCAM; PAM-1 |
| Entrez GeneID | 50848 |
| Swissprot | Q9Y624 |
| clone | 3B2B3 |
| WB Predicted band size | 32.6kDa |
| Host/Isotype | Mouse IgG1 |
| Antibody Type | Primary antibody |
| Storage | Store at 4°C short term. Aliquot and store at -20°C long term. Avoid freeze/thaw cycles. |
| Species Reactivity | Human |
| Immunogen | Purified recombinant fragment of human CD321 (AA: extra 28-238) expressed in E. Coli. |
| Formulation | Purified antibody in PBS with 0.05% sodium azide |
Application |
|
|---|---|
| IHC | 1/200 - 1/1000 |
| IF | 1/200 - 1/1000 |
| FCM | 1/200 - 1/400 |
| ELISA | 1/10000 |
Product Image
-
Black line: Control Antigen (100 ng);Purple line: Antigen (10ng); Blue line: Antigen (50 ng); Red line:Antigen (100 ng)

-
Immunofluorescence analysis of Hela cells using CD321 mouse mAb (green). Blue: DRAQ5 fluorescent DNA dye. Red: Actin filaments have been labeled with Alexa Fluor-555 phalloidin. Secondary antibody from Fisher (Cat#: 35503)

-
Flow cytometric analysis of HT-29 cells using CD321 mouse mAb (green) and negative control (red).

-
Immunohistochemical analysis of paraffin-embedded human liver cancer tissues using CD321 mouse mAb with DAB staining.

-
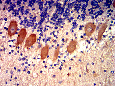
Immunohistochemical analysis of paraffin-embedded human brain tissues using CD321 mouse mAb with DAB staining.






鄂公网安备42018502007531号

