Mouse Monoclonal Antibody to CCR10
Description |
|---|
Chemokines are a group of small (approximately 8 to 14 kD), mostly basic, structurally related molecules that regulate cell trafficking of various types of leukocytes through interactions with a subset of 7-transmembrane, G protein-coupled receptors. Chemokines also play fundamental roles in the development, homeostasis, and function of the immune system, and they have effects on cells of the central nervous system as well as on endothelial cells involved in angiogenesis or angiostasis. Chemokines are divided into 2 major subfamilies, CXC and CC, based on the arrangement of the first 2 of the 4 conserved cysteine residues; the 2 cysteines are separated by a single amino acid in CXC chemokines and are adjacent in CC chemokines. CCR10 is the receptor for CCL27 (SCYA27; MIM 604833); CCR10-CCL27 interactions are involved in T cell-mediated skin inflammation (Homey et al., 2002 [PubMed 11821900]).[supplied by OMIM, Mar 2008] |
References |
|---|
| 1,Allergy. 2019 May;74(5):933-943. 2,Int Immunopharmacol. 2017 Oct;51:124-130. |
Specification |
|
|---|---|
| Aliases | GPR2 |
| Entrez GeneID | 2826 |
| Swissprot | P46092 |
| clone | 6E3E4 |
| WB Predicted band size | 38.4kDa |
| Host/Isotype | Mouse IgG1 |
| Antibody Type | Primary antibody |
| Storage | Store at 4°C short term. Aliquot and store at -20°C long term. Avoid freeze/thaw cycles. |
| Species Reactivity | Human |
| Immunogen | Purified recombinant fragment of human CCR10 (AA: extra mix) expressed in E. Coli. |
| Formulation | Purified antibody in PBS with 0.05% sodium azide |
Application |
|
|---|---|
| IHC | 1/200 - 1/1000 |
| IF | 1/200 - 1/1000 |
| FCM | 1/200 - 1/400 |
| ELISA | 1/10000 |
Product Image
-
Black line: Control Antigen (100 ng);Purple line: Antigen (10ng); Blue line: Antigen (50 ng); Red line:Antigen (100 ng)

-
Immunofluorescence analysis of Hela cells using CCR10 mouse mAb (green). Blue: DRAQ5 fluorescent DNA dye. Red: Actin filaments have been labeled with Alexa Fluor- 555 phalloidin. Secondary antibody from Fisher (Cat#: 35503)

-
Flow cytometric analysis of HL-60 cells using CCR10 mouse mAb (green) and negative control (red).

-
Flow cytometric analysis of MOLT4 cells using CCR10 mouse mAb (green) and negative control (red).

-
Flow cytometric analysis of THP-1 cells using CCR10 mouse mAb (green) and negative control (red).

-
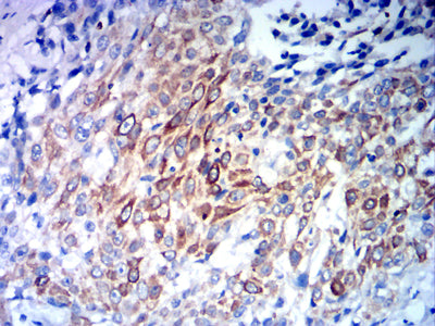
Immunohistochemical analysis of paraffin-embedded human esophageal cancer tissues using CCR10 mouse mAb with DAB staining.







鄂公网安备42018502007531号

