Mouse Monoclonal Antibody to CCL27
货号:
32042
别名:
ALP; ILC; CTAK; CTACK; PESKY; ESKINE; SCYA27
应用:
IHC,IF,FCM
反应种属:
Human
抗体类型:
Primary antibody
Swissprot:
Q9Y4X3
规格:
目录价
在线咨询
Description |
|---|
This gene is one of several CC cytokine genes clustered on the p-arm of chromosome 9. Cytokines are a family of secreted proteins involved in immunoregulatory and inflammatory processes. The CC cytokines are proteins characterized by two adjacent cysteines. The protein encoded by this gene is chemotactic for skin-associated memory T lymphocytes. This cytokine may also play a role in mediating homing of lymphocytes to cutaneous sites. It specifically binds to chemokine receptor 10 (CCR10). Studies of a similar murine protein indicate that these protein-receptor interactions have a pivotal role in T cell-mediated skin inflammation. [provided by RefSeq, Sep 2014] |
References |
|---|
| 1,Exp Dermatol. 2018 Feb;27(2):207-210. 2,BMC Cancer. 2018 Jan 2;18(1):9. |
Specification |
|
|---|---|
| Aliases | ALP; ILC; CTAK; CTACK; PESKY; ESKINE; SCYA27 |
| Entrez GeneID | 10850 |
| Swissprot | Q9Y4X3 |
| clone | 3B7A5 |
| WB Predicted band size | 12.6kDa |
| Host/Isotype | Mouse IgG1 |
| Antibody Type | Primary antibody |
| Storage | Store at 4°C short term. Aliquot and store at -20°C long term. Avoid freeze/thaw cycles. |
| Species Reactivity | Human |
| Immunogen | Purified recombinant fragment of human CCL27 (AA: 25-112) expressed in E. Coli. |
| Formulation | Purified antibody in PBS with 0.05% sodium azide |
Application |
|
|---|---|
| IHC | 1/200 - 1/1000 |
| IF | 1/200 - 1/1000 |
| FCM | 1/200 - 1/400 |
| ELISA | 1/10000 |
Product Image
-
Black line: Control Antigen (100 ng);Purple line: Antigen (10ng); Blue line: Antigen (50 ng); Red line:Antigen (100 ng)

-
Immunofluorescence analysis of Hela cells using CCL27 mouse mAb (green). Blue: DRAQ5 fluorescent DNA dye. Red: Actin filaments have been labeled with Alexa Fluor- 555 phalloidin. Secondary antibody from Fisher (Cat#: 35503)

-
Flow cytometric analysis of HepG2 cells using CCL27 mouse mAb (green) and negative control (red).

-
Flow cytometric analysis of Hela cells using CCL27 mouse mAb (green) and negative control (red).

-
Flow cytometric analysis of A431 cells using CCL27 mouse mAb (green) and negative control (red).

-
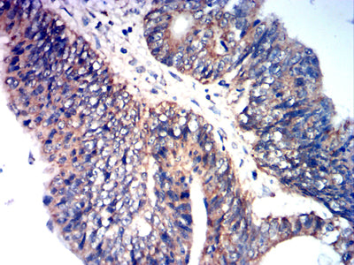
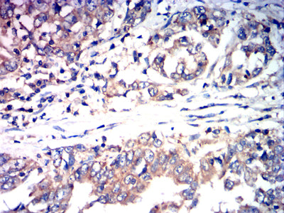
Immunohistochemical analysis of paraffin-embedded human rectal cancer tissues using CCL27 mouse mAb with DAB staining.

-
Immunohistochemical analysis of paraffin-embedded human stomach cancer tissues using CCL27 mouse mAb with DAB staining.








鄂公网安备42018502007531号

