Mouse Monoclonal Antibody to PTH
货号:
32043
别名:
FIH1; PTH1
应用:
IHC,IF,FCM
反应种属:
Human
抗体类型:
Primary antibody
Swissprot:
P01270
规格:
目录价
在线咨询
Description |
|---|
This gene encodes a member of the parathyroid family of proteins. The encoded preproprotein is proteolytically processed to generate a protein that binds to the parathyroid hormone/parathyroid hormone-related peptide receptor and regulates blood calcium and phosphate levels. Excess production of the encoded protein, known as hyperparathyroidism, can result in hypercalcemia and kidney stones. On the other hand, defective processing of the encoded protein may lead to hypoparathyroidism, which can result in hypocalcemia and numbness. Alternative splicing results in multiple transcript variants. [provided by RefSeq, Oct 2015] |
References |
|---|
| 1,Endocr Metab Immune Disord Drug Targets. 2019;19(8):1134-1140. 2,Sci Rep. 2019 Aug 5;9(1):11301. |
Specification |
|
|---|---|
| Aliases | FIH1; PTH1 |
| Entrez GeneID | 5741 |
| Swissprot | P01270 |
| clone | 8C5H9 |
| WB Predicted band size | 12.8kDa |
| Host/Isotype | Mouse IgG2b |
| Antibody Type | Primary antibody |
| Storage | Store at 4°C short term. Aliquot and store at -20°C long term. Avoid freeze/thaw cycles. |
| Species Reactivity | Human |
| Immunogen | Purified recombinant fragment of human PTH (AA: 32-115) expressed in E. Coli. |
| Formulation | Purified antibody in PBS with 0.05% sodium azide |
Application |
|
|---|---|
| IHC | 1/200 - 1/1000 |
| IF | 1/200 - 1/1000 |
| FCM | 1/200 - 1/400 |
| ELISA | 1/10000 |
Product Image
-
Black line: Control Antigen (100 ng);Purple line: Antigen (10ng); Blue line: Antigen (50 ng); Red line:Antigen (100 ng)

-
Immunofluorescence analysis of Hela cells using PTH mouse mAb (green). Blue: DRAQ5 fluorescent DNA dye. Red: Actin filaments have been labeled with Alexa Fluor- 555 phalloidin. Secondary antibody from Fisher (Cat#: 35503)

-
Flow cytometric analysis of Hela cells using PTH mouse mAb (green) and negative control (red).

-
Flow cytometric analysis of HepG2 cells using PTH mouse mAb (green) and negative control (red).

-
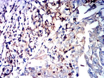
Immunohistochemical analysis of paraffin-embedded human stomach cancer tissues using PTH mouse mAb with DAB staining.






鄂公网安备42018502007531号

