Mouse Monoclonal Antibody to IL22
货号:
32029
别名:
TIFa; IL-21; IL-22; ILTIF; IL-TIF; IL-D110; zcyto18; TIFIL-23
应用:
IHC,IF,FCM
反应种属:
Human
抗体类型:
Primary antibody
Swissprot:
Q9GZX6
规格:
目录价
在线咨询
Description |
|---|
This gene is a member of the IL10 family of cytokines that mediate cellular inflammatory responses. The encoded protein functions in antimicrobial defense at mucosal surfaces and in tissue repair. This protein also has pro-inflammatory properties and plays a role in in the pathogenesis of several intestinal diseases. [provided by RefSeq, Jul 2018] |
References |
|---|
| 1,Braz J Med Biol Res. 2020;53(9):e9880. 2,Medicine (Baltimore). 2019 Nov;98(44):e17867. |
Specification |
|
|---|---|
| Aliases | TIFa; IL-21; IL-22; ILTIF; IL-TIF; IL-D110; zcyto18; TIFIL-23 |
| Entrez GeneID | 50616 |
| Swissprot | Q9GZX6 |
| clone | 2A10B9 |
| WB Predicted band size | 20kDa |
| Host/Isotype | Mouse IgG2a |
| Antibody Type | Primary antibody |
| Storage | Store at 4°C short term. Aliquot and store at -20°C long term. Avoid freeze/thaw cycles. |
| Species Reactivity | Human |
| Immunogen | Purified recombinant fragment of human IL22 (AA: 34-179) expressed in E. Coli. |
| Formulation | Purified antibody in PBS with 0.05% sodium azide |
Application |
|
|---|---|
| IHC | 1/200 - 1/1000 |
| IF | 1/200 - 1/1000 |
| FCM | 1/200 - 1/400 |
| ELISA | 1/10000 |
Product Image
-
Black line: Control Antigen (100 ng);Purple line: Antigen (10ng); Blue line: Antigen (50 ng); Red line:Antigen (100 ng)

-
Immunofluorescence analysis of Hela cells using IL22 mouse mAb (green). Blue: DRAQ5 fluorescent DNA dye. Red: Actin filaments have been labeled with Alexa Fluor- 555 phalloidin. Secondary antibody from Fisher (Cat#: 35503)

-
Flow cytometric analysis of Jurkat cells using IL22 mouse mAb (green) and negative control (red).

-
Flow cytometric analysis of MOLT4 cells using IL22 mouse mAb (green) and negative control (red).

-
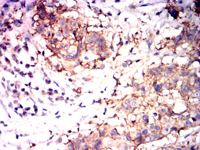
Immunohistochemical analysis of paraffin-embedded human esophageal cancer tissues using IL22 mouse mAb with DAB staining.

-
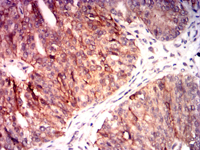
Immunohistochemical analysis of paraffin-embedded human ovarian cancer tissues using IL22 mouse mAb with DAB staining.







鄂公网安备42018502007531号

