Mouse Monoclonal Antibody to BAX
Description |
|---|
The protein encoded by this gene belongs to the BCL2 protein family. BCL2 family members form hetero- or homodimers and act as anti- or pro-apoptotic regulators that are involved in a wide variety of cellular activities. This protein forms a heterodimer with BCL2, and functions as an apoptotic activator. The association and the ratio of BAX to BCL2 also determines survival or death of a cell following an apoptotic stimulus. This protein is reported to interact with, and increase the opening of, the mitochondrial voltage-dependent anion channel (VDAC), which leads to the loss in membrane potential and the release of cytochrome c. The expression of this gene is regulated by the tumor suppressor P53 and has been shown to be involved in P53-mediated apoptosis. Multiple alternatively spliced transcript variants, which encode different isoforms, have been reported for this gene. [provided by RefSeq, Dec 2019] |
References |
|---|
| 1,J Biol Chem. 2019 Dec 13;294(50):19055-19065. 2,Biochem Biophys Res Commun. 2019 Jun 30;514(3):881-887. |
Specification |
|
|---|---|
| Aliases | BCL2L4 |
| Entrez GeneID | 581 |
| Swissprot | Q07812 |
| clone | 7D8B2 |
| WB Predicted band size | 21.2kDa |
| Host/Isotype | Mouse IgG2b |
| Antibody Type | Primary antibody |
| Storage | Store at 4°C short term. Aliquot and store at -20°C long term. Avoid freeze/thaw cycles. |
| Species Reactivity | Human, Mouse, Rat |
| Immunogen | Purified recombinant fragment of human BAX (AA:(13-160)) expressed in E. Coli. |
| Formulation | Purified antibody in PBS with 0.05% sodium azide |
Application |
|
|---|---|
| WB | 1/500 - 1/2000 |
| IHC | 1/200-1/1000 |
| FCM | 1/200-1/400 |
| ELISA | 1/10000 |
Product Image
-
Black line: Control Antigen (100 ng);Purple line: Antigen (10ng); Blue line: Antigen (50 ng); Red line: Antigen (100 ng)

-
Western blot analysis using BAX mouse mAb against Hela (1), C2C12 (2),C6 (3),HepG2 (4),MCF-7 (5),Ramos (6),Raji (7),HEK293 (8), and HEK293-6e (9) cell lysate.

-
Flow cytometric analysis of Hela cells using BAX mouse mAb (green) and negative control (red).

-
Flow cytometric analysis of Hepg2 cells using BAX mouse mAb (green) and negative control (red).

-
Flow cytometric analysis of Jurkat cells using BAX mouse mAb (green) and negative control (red).

-
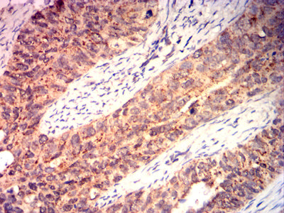
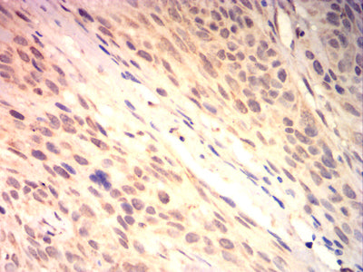
Immunohistochemical analysis of paraffin-embedded human cervical cancer tissues using BAX mouse mAb with DAB staining.

-
Immunohistochemical analysis of paraffin-embedded human esophageal cancer tissues using BAX mouse mAb with DAB staining.








鄂公网安备42018502007531号

