Mouse Monoclonal Antibody to NEFL
货号:
32030
别名:
NFL; NF-L; NF68; CMT1F; CMT2E; CMTDIG; PPP1R110
应用:
WB,IHC,FCM
反应种属:
Human,Mouse,Rat,Rabbit
抗体类型:
Primary antibody
Swissprot:
P07196
规格:
目录价
在线咨询
Description |
|---|
Neurofilaments are type IV intermediate filament heteropolymers composed of light, medium, and heavy chains. Neurofilaments comprise the axoskeleton and they functionally maintain the neuronal caliber. They may also play a role in intracellular transport to axons and dendrites. This gene encodes the light chain neurofilament protein. Mutations in this gene cause Charcot-Marie-Tooth disease types 1F (CMT1F) and 2E (CMT2E), disorders of the peripheral nervous system that are characterized by distinct neuropathies. A pseudogene has been identified on chromosome Y. [provided by RefSeq, Oct 2008] |
References |
|---|
| 1,Brain. 2020 Jan 1;143(1):47-54. 2,Lancet Neurol. 2019 Dec;18(12):1103-1111. |
Specification |
|
|---|---|
| Aliases | NFL; NF-L; NF68; CMT1F; CMT2E; CMTDIG; PPP1R110 |
| Entrez GeneID | 4747 |
| Swissprot | P07196 |
| clone | 2F8B3 |
| WB Predicted band size | 61.5kDa |
| Host/Isotype | Mouse IgG1 |
| Antibody Type | Primary antibody |
| Storage | Store at 4°C short term. Aliquot and store at -20°C long term. Avoid freeze/thaw cycles. |
| Species Reactivity | Human,Mouse,Rat,Rabbit |
| Immunogen | Purified recombinant fragment of human NEFL (AA: 1-200) expressed in E. Coli. |
| Formulation | Purified antibody in PBS with 0.05% sodium azide |
Application |
|
|---|---|
| WB | 1/500 - 1/2000 |
| IHC | 1/100 - 1/500 |
| FCM | 1/200 - 1/400 |
| ELISA | 1/10000 |
Product Image
-
Black line: Control Antigen (100 ng);Purple line: Antigen (10ng); Blue line: Antigen (50 ng); Red line:Antigen (100 ng)

-
Western blot analysis using NEFL mouse mAb against HEK293 (1) cell lysate.

-
Flow cytometric analysis of Jurkat cells using NEFL mouse mAb (green) and negative control (red).

-
Flow cytometric analysis of SK-N-SH cells using NEFL mouse mAb (green) and negative control (red).

-
Immunohistochemical analysis of paraffin-embedded human brain tissues using NEFL mouse mAb with DAB staining.

-
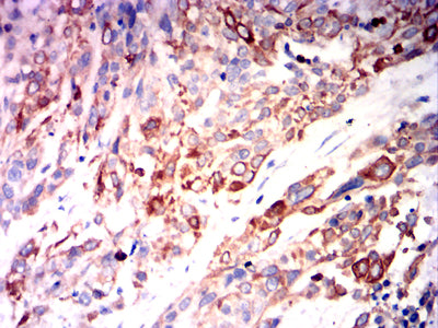
Immunohistochemical analysis of paraffin-embedded human esophageal cancer tissues using NEFL mouse mAb with DAB staining.

-
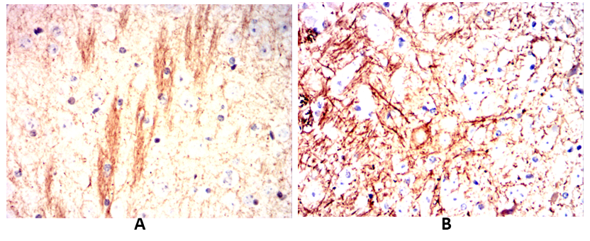
Immunohistochemical analysis of paraffin-embedded Mouse brain(A) Mouse cerebellum(B) using NEFL mouse mAb with DAB staining.

-
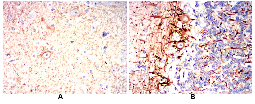
Immunohistochemical analysis of paraffin-embedded Rat brain(A) Rat cerebellum(B) using NEFL mouse mAb with DAB staining.

-
Immunohistochemical analysis of paraffin-embedded Rabbit brain(A) Rabbit cerebellum(B) using NEFL mouse mAb with DAB staining.










鄂公网安备42018502007531号

