Mouse Monoclonal Antibody to CD47
货号:
32036
别名:
IAP; OA3; MER6
应用:
WB,IHC,IF,FCM
反应种属:
Human
抗体类型:
Primary antibody
Swissprot:
Q08722
规格:
目录价
在线咨询
Description |
|---|
This gene encodes a membrane protein, which is involved in the increase in intracellular calcium concentration that occurs upon cell adhesion to extracellular matrix. The encoded protein is also a receptor for the C-terminal cell binding domain of thrombospondin, and it may play a role in membrane transport and signal transduction. This gene has broad tissue distribution, and is reduced in expression on Rh erythrocytes. Alternatively spliced transcript variants have been found for this gene. [provided by RefSeq, Jul 2010] |
References |
|---|
| 1,Biomed Pharmacother. 2019 Nov;119:109105. 2,Cells. 2019 Dec 17;8(12):1658. |
Specification |
|
|---|---|
| Aliases | IAP; OA3; MER6 |
| Entrez GeneID | 961 |
| Swissprot | Q08722 |
| clone | 2H2B5 |
| WB Predicted band size | 35.2kDa |
| Host/Isotype | Mouse IgG2a |
| Antibody Type | Primary antibody |
| Storage | Store at 4°C short term. Aliquot and store at -20°C long term. Avoid freeze/thaw cycles. |
| Species Reactivity | Human |
| Immunogen | Purified recombinant fragment of human CD47 (AA: 19-141) expressed in E. Coli. |
| Formulation | Purified antibody in PBS with 0.05% sodium azide |
Application |
|
|---|---|
| WB | 1/500 - 1/2000 |
| IHC | 1/200 - 1/1000 |
| IF | 1/200 - 1/1000 |
| FCM | 1/200 - 1/400 |
| ELISA | 1/10000 |
Product Image
-
Black line: Control Antigen (100 ng);Purple line: Antigen (10ng); Blue line: Antigen (50 ng); Red line:Antigen (100 ng)

-
Western blot analysis using CD47 mouse mAb against Jurkat (1), MOLT4 (2), HL-60 (3), Raji (4), Ramos (5), and HEK293 (6) cell lysate.

-
Immunofluorescence analysis of Hela cells using CD47 mouse mAb (green). Blue: DRAQ5 fluorescent DNA dye. Red: Actin filaments have been labeled with Alexa Fluor- 555 phalloidin. Secondary antibody from Fisher (Cat#: 35503)

-
Flow cytometric analysis of Hela cells using CD47 mouse mAb (green) and negative control (red).

-
Flow cytometric analysis of Jurkat cells using CD47 mouse mAb (green) and negative control (red).

-
Flow cytometric analysis of K562 cells using CD47 mouse mAb (green) and negative control (red).

-
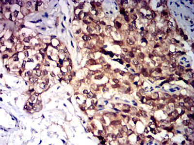
Immunohistochemical analysis of paraffin-embedded human bladder cancer tissues using CD47 mouse mAb with DAB staining.








鄂公网安备42018502007531号

