Mouse Monoclonal Antibody to KRT10
货号:
32023
别名:
BIE; EHK; K10; KPP; BCIE; CK10
应用:
WB,IHC,IF,FCM
反应种属:
Human
抗体类型:
Primary antibody
Swissprot:
P13645
规格:
目录价
在线咨询
Description |
|---|
This gene encodes a member of the type I (acidic) cytokeratin family, which belongs to the superfamily of intermediate filament (IF) proteins. Keratins are heteropolymeric structural proteins which form the intermediate filament. These filaments, along with actin microfilaments and microtubules, compose the cytoskeleton of epithelial cells. Mutations in this gene are associated with epidermolytic hyperkeratosis. This gene is located within a cluster of keratin family members on chromosome 17q21. |
References |
|---|
| 1.J Cell Mol Med. 2019 Dec;23(12):8442-8452. 2.J Eur Acad Dermatol Venereol. 2016 Oct;30(10):e102-e104. |
Specification |
|
|---|---|
| Aliases | BIE; EHK; K10; KPP; BCIE; CK10 |
| Entrez GeneID | 3858 |
| Swissprot | P13645 |
| clone | 7A5A6 |
| WB Predicted band size | 58.8kDa |
| Host/Isotype | Mouse IgG1 |
| Antibody Type | Primary antibody |
| Storage | Store at 4°C short term. Aliquot and store at -20°C long term. Avoid freeze/thaw cycles. |
| Species Reactivity | Human |
| Immunogen | Purified recombinant fragment of human KRT10 (AA: 146-455) expressed in E. Coli. |
| Formulation | Purified antibody in PBS with 0.05% sodium azide |
Application |
|
|---|---|
| WB | 1/500 - 1/2000 |
| IHC | 1/200 - 1/1000 |
| IF | 1/200 - 1/1000 |
| FCM | 1/200 - 1/400 |
| ELISA | 1/10000 |
Product Image
-
Black line: Control Antigen (100 ng);Purple line: Antigen (10ng); Blue line: Antigen (50 ng); Red line:Antigen (100 ng)

-
Western blot analysis using KRT10 mouse mAb against MCF-7 (1), Hela (2), HepG2 (3), T47D (4), HT-29 (5), and A549 (6) cell lysate.

-
Immunofluorescence analysis of Hela cells using KRT10 mouse mAb (green). Blue: DRAQ5 fluorescent DNA dye. Red: Actin filaments have been labeled with Alexa Fluor- 555 phalloidin. Secondary antibody from Fisher (Cat#: 35503)

-
Flow cytometric analysis of A431 cells using KRT10 mouse mAb (green) and negative control (red).

-
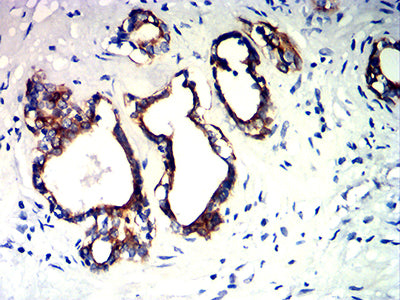
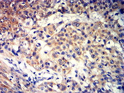
Immunohistochemical analysis of paraffin-embedded human prostate cancer tissues using KRT10 mouse mAb with DAB staining.

-
Immunohistochemical analysis of paraffin-embedded human esophageal cancer tissues using KRT10 mouse mAb with DAB staining.







鄂公网安备42018502007531号

