Mouse Monoclonal Antibody to CD85K
Description |
|---|
This gene is a member of the leukocyte immunoglobulin-like receptor (LIR) family, which is found in a gene cluster at chromosomal region 19q13.4. The encoded protein belongs to the subfamily B class of LIR receptors which contain two or four extracellular immunoglobulin domains, a transmembrane domain, and two to four cytoplasmic immunoreceptor tyrosine-based inhibitory motifs (ITIMs). The receptor is expressed on immune cells where it binds to MHC class I molecules on antigen-presenting cells and transduces a negative signal that inhibits stimulation of an immune response. The receptor can also function in antigen capture and presentation. It is thought to control inflammatory responses and cytotoxicity to help focus the immune response and limit autoreactivity. Multiple transcript variants encoding different isoforms have been found for this gene. [provided by RefSeq, Jul 2008] |
References |
|---|
| 1,Biosci Rep. 2019 Jun 14;39(6):BSR20181888. 2,Mol Ther. 2018 Oct 3;26(10):2487-2495. |
Specification |
|
|---|---|
| Aliases | ILT3; LIR5; LILRB4; ILT-3; LIR-5 |
| Entrez GeneID | 11006 |
| Swissprot | Q8NHJ6 |
| clone | 8F1H11 |
| WB Predicted band size | 49kDa |
| Host/Isotype | Mouse IgG1 |
| Antibody Type | Primary antibody |
| Storage | Store at 4°C short term. Aliquot and store at -20°C long term. Avoid freeze/thaw cycles. |
| Species Reactivity | Human |
| Immunogen | Purified recombinant fragment of human CD85K (AA: 22-259) expressed in E. Coli. |
| Formulation | Purified antibody in PBS with 0.05% sodium azide |
Application |
|
|---|---|
| IHC | 1/200 - 1/1000 |
| IF | 1/200 - 1/1000 |
| FCM | 1/200 - 1/400 |
| ELISA | 1/10000 |
Product Image
-
Black line: Control Antigen (100 ng);Purple line: Antigen (10ng); Blue line: Antigen (50 ng); Red line:Antigen (100 ng)

-
Immunofluorescence analysis of Hela cells using CD85K mouse mAb (green). Blue: DRAQ5 fluorescent DNA dye. Red: Actin filaments have been labeled with Alexa Fluor- 555 phalloidin. Secondary antibody from Fisher (Cat#: 35503)

-
Flow cytometric analysis of HL-60 cells using CD85K mouse mAb (green) and negative control (red).

-
Flow cytometric analysis of Jurkat cells using CD85K mouse mAb (green) and negative control (red).

-
Flow cytometric analysis of THP-1 cells using CD85K mouse mAb (green) and negative control (red).

-
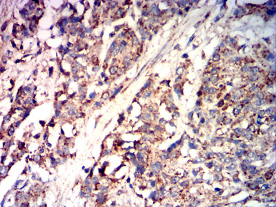
Immunohistochemical analysis of paraffin-embedded human esophageal cancer tissues using CD85K mouse mAb with DAB staining.

-
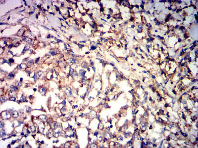
Immunohistochemical analysis of paraffin-embedded human stomach cancer tissues using CD85K mouse mAb with DAB staining.








鄂公网安备42018502007531号

