Mouse Monoclonal Antibody to EPCAM
货号:
32011
别名:
ESA; KSA; M4S1; MK-1; DIAR5; EGP-2; EGP40; KS1/4; MIC18; TROP1; EGP314; HNPCC8; TACSTD1
应用:
WB,IHC,FCM
反应种属:
Human,Mouse,Rat,Monkey
抗体类型:
Primary antibody
Swissprot:
P16422
规格:
目录价
在线咨询
Description |
|---|
This gene encodes a carcinoma-associated antigen and is a member of a family that includes at least two type I membrane proteins. This antigen is expressed on most normal epithelial cells and gastrointestinal carcinomas and functions as a homotypic calcium-independent cell adhesion molecule. The antigen is being used as a target for immunotherapy treatment of human carcinomas. Mutations in this gene result in congenital tufting enteropathy. [provided by RefSeq, Dec 2008] |
References |
|---|
| 1,Asian Pac J Cancer Prev. 2020 Mar 1;21(3):861-866. 2,J Radiat Res. 2019 Nov 22;60(6):803-811. |
Specification |
|
|---|---|
| Aliases | ESA; KSA; M4S1; MK-1; DIAR5; EGP-2; EGP40; KS1/4; MIC18; TROP1; EGP314; HNPCC8; TACSTD1 |
| Entrez GeneID | 4072 |
| Swissprot | P16422 |
| clone | 4D6E7 |
| WB Predicted band size | 35kDa |
| Host/Isotype | Mouse IgG2a |
| Antibody Type | Primary antibody |
| Storage | Store at 4°C short term. Aliquot and store at -20°C long term. Avoid freeze/thaw cycles. |
| Species Reactivity | Human,Mouse,Rat,Monkey |
| Immunogen | Purified recombinant fragment of human EPCAM (AA: extra(116-265)) expressed in E. Coli. |
| Formulation | Purified antibody in PBS with 0.05% sodium azide |
Application |
|
|---|---|
| WB | 1/500 - 1/2000 |
| IHC | 1/200-1/1000 |
| FCM | 1/200-1/400 |
| ELISA | 1/10000 |
Product Image
-
Black line: Control Antigen (100 ng);Purple line: Antigen (10ng); Blue line: Antigen (50 ng); Red line: Antigen (100 ng)

-
Western blot analysis using EPCAM mouse mAb against HCT116 (1), HT-29 (2),SW480 (3),Sw-620 (4) , and T47D (5) cell lysate.

-
Western blot analysis using EPCAM mouse mAb against PC-12 cell lysate.

-
Flow cytometric analysis of Lovo cells using EPCAM mouse mAb (green) and negative control (red).

-
Flow cytometric analysis of COS7 cells using EPCAM mouse mAb (green) and negative control (red).

-
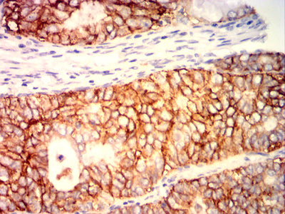
Immunohistochemical analysis of paraffin-embedded human cervical cancer tissues using EPCAM mouse mAb with DAB staining.

-
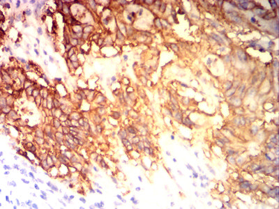
Immunohistochemical analysis of paraffin-embedded human colon cancer tissues using EPCAM mouse mAb with DAB staining.

-
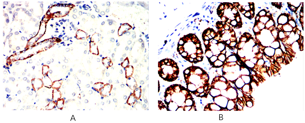
Immunohistochemical analysis of paraffin-embedded Mouse kidney(A)Mouse colon(B) using EPCAM mouse mAb with DAB staining.

-
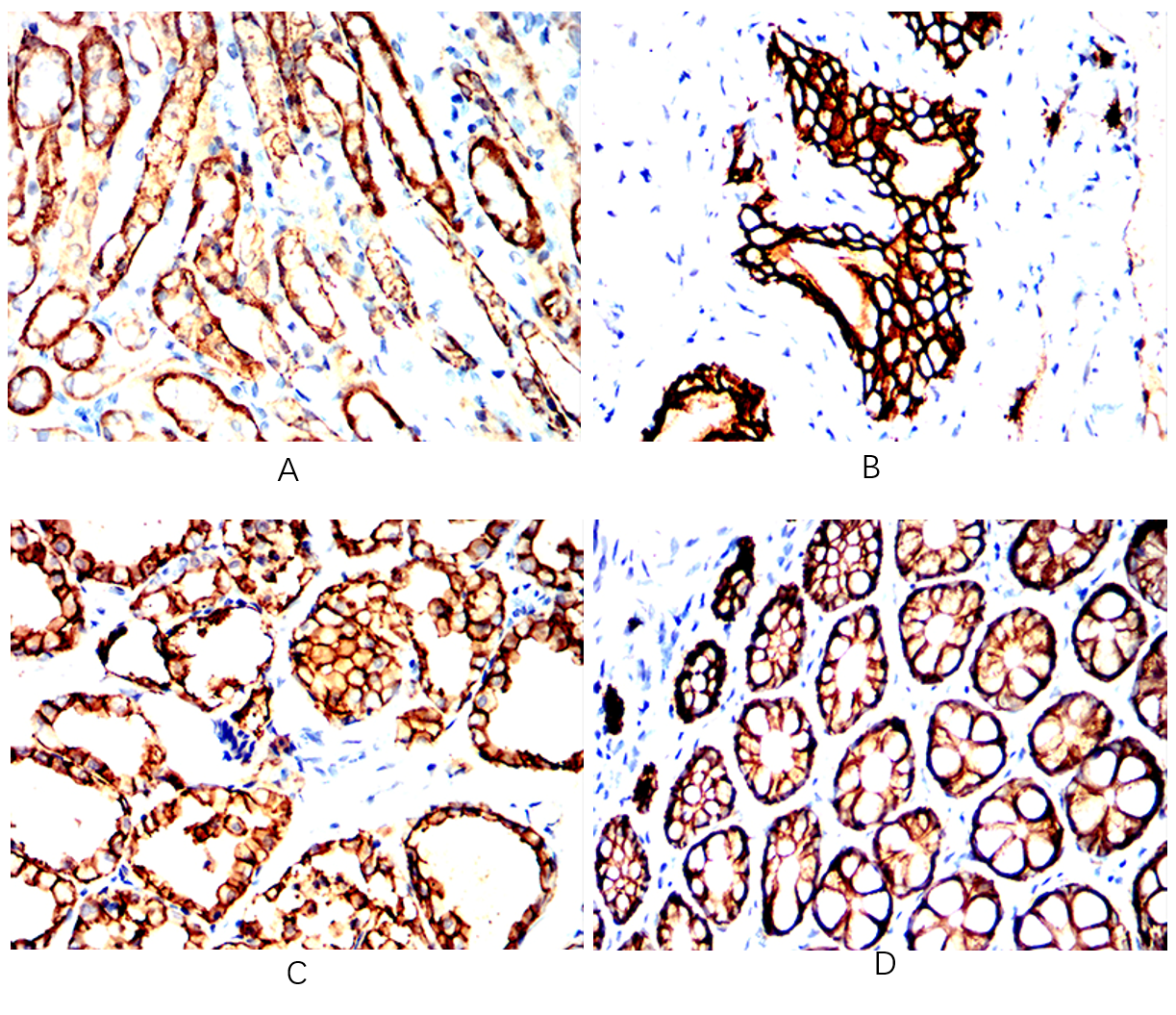
Immunohistochemical analysis of paraffin-embedded Rat kidney(A)Rat bladder(B)Rat thyroid(C)Rat colon(D) using EPCAM mouse mAb with DAB staining.










鄂公网安备42018502007531号

