Mouse Monoclonal Antibody to TUBA4A
Description |
|---|
Microtubules of the eukaryotic cytoskeleton perform essential and diverse functions and are composed of a heterodimer of alpha and beta tubulin. The genes encoding these microtubule constituents are part of the tubulin superfamily, which is composed of six distinct families. Genes from the alpha, beta and gamma tubulin families are found in all eukaryotes. The alpha and beta tubulins represent the major components of microtubules, while gamma tubulin plays a critical role in the nucleation of microtubule assembly. There are multiple alpha and beta tubulin genes and they are highly conserved among and between species. This gene encodes an alpha tubulin that is a highly conserved homolog of a rat testis-specific alpha tubulin. Alternatively spliced transcript variants encoding different isoforms have been found for this gene. [provided by RefSeq, Jun 2013] |
References |
|---|
| 1,J Neurol Neurosurg Psychiatry. 2018 Dec;89(12):1350-1352. 2,Neurodegener Dis. 2017;17(4-5):171-180. |
Specification |
|
|---|---|
| Aliases | ALS22; TUBA1; H2-ALPHA;Alpha-tubulin 1;TBA4A |
| Entrez GeneID | 7277 |
| Swissprot | P68366 |
| clone | 1C4E12 |
| WB Predicted band size | 50kDa |
| Host/Isotype | Mouse IgG2a |
| Antibody Type | Primary antibody |
| Storage | Store at 4°C short term. Aliquot and store at -20°C long term. Avoid freeze/thaw cycles. |
| Species Reactivity | Human, Mouse, Rat, Monkey |
| Immunogen | Purified recombinant fragment of human TUBA4A (AA: (299-447)) expressed in E. Coli. |
| Formulation | Purified antibody in PBS with 0.05% sodium azide |
Application |
|
|---|---|
| WB | 1/500 - 1/2000 |
| IHC | 1/200-1/1000 |
| FCM | 1/200-1/400 |
| ELISA | 1/10000 |
Product Image
-
Black line: Control Antigen (100 ng);Purple line: Antigen (10ng); Blue line: Antigen (50 ng); Red line: Antigen (100 ng)

-
Western blot analysis using TUBA4A mouse mAb against A431 (1), Hela (2), HepG2 (3), Jurkat (4), Cos7 (5),C6 (6), NIH3T3 (7), HEK293 (8),and HEK293-6e (9) cell lysate.

-
Flow cytometric analysis of A431 cells using TUBA4A mouse mAb (green) and negative control (red).

-
Flow cytometric analysis of Hepg2 cells using TUBA4A mouse mAb (green) and negative control (red).

-
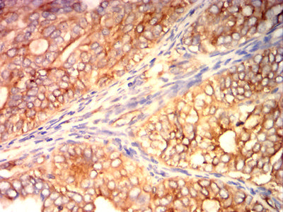
Immunohistochemical analysis of paraffin-embedded human cervical cancer tissues using TUBA4A mouse mAb with DAB staining.






鄂公网安备42018502007531号

