Mouse Monoclonal Antibody to C-MYC
Description |
|---|
This gene is a proto-oncogene and encodes a nuclear phosphoprotein that plays a role in cell cycle progression, apoptosis and cellular transformation. The encoded protein forms a heterodimer with the related transcription factor MAX. This complex binds to the E box DNA consensus sequence and regulates the transcription of specific target genes. Amplification of this gene is frequently observed in numerous human cancers. Translocations involving this gene are associated with Burkitt lymphoma and multiple myeloma in human patients. There is evidence to show that translation initiates both from an upstream, in-frame non-AUG (CUG) and a downstream AUG start site, resulting in the production of two isoforms with distinct N-termini. [provided by RefSeq, Aug 2017] |
References |
|---|
| 1,Jpn J Clin Oncol. 2020 Apr 7;50(4):446-455. 2,Proc Natl Acad Sci U S A. 2020 Mar 10;117(10):5269-5279. |
Specification |
|
|---|---|
| Aliases | MRTL; MYCC; c-Myc; bHLHe39 |
| Entrez GeneID | 4609 |
| Swissprot | P01106 |
| clone | 6H11F6 |
| WB Predicted band size | 32.1/57/48.8kDa |
| Host/Isotype | Mouse IgG1 |
| Antibody Type | Primary antibody |
| Storage | Store at 4°C short term. Aliquot and store at -20°C long term. Avoid freeze/thaw cycles. |
| Species Reactivity | Human |
| Immunogen | Purified recombinant fragment of human C-MYC (AA: (290-439)) expressed in E. Coli. |
| Formulation | Purified antibody in PBS with 0.05% sodium azide |
Application |
|
|---|---|
| IHC | 1/200-1/1000 |
| FCM | 1/200-1/400 |
| ELISA | 1/10000 |
Product Image
-
Black line: Control Antigen (100 ng);Purple line: Antigen (10ng); Blue line: Antigen (50 ng); Red line: Antigen (100 ng)

-
Flow cytometric analysis of Hela cells using C-MYC mouse mAb (green) and negative control (red).

-
Flow cytometric analysis of Hepg2 cells using C-MYC mouse mAb (green) and negative control (red).

-
Flow cytometric analysis of Lovo cells using C-MYC mouse mAb (green) and negative control (red).

-
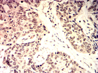
Immunohistochemical analysis of paraffin-embedded human esophageal cancer tissues using C-MYC mouse mAb with DAB staining.

-
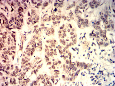
Immunohistochemical analysis of paraffin-embedded human lung cancer tissues using C-MYC mouse mAb with DAB staining.







鄂公网安备42018502007531号

