Mouse Monoclonal Antibody to KRT13
Description |
|---|
The protein encoded by this gene is a member of the keratin gene family. The keratins are intermediate filament proteins responsible for the structural integrity of epithelial cells and are subdivided into cytokeratins and hair keratins. Most of the type I cytokeratins consist of acidic proteins which are arranged in pairs of heterotypic keratin chains. This type I cytokeratin is paired with keratin 4 and expressed in the suprabasal layers of non-cornified stratified epithelia. Mutations in this gene and keratin 4 have been associated with the autosomal dominant disorder White Sponge Nevus. The type I cytokeratins are clustered in a region of chromosome 17q21.2. Alternative splicing of this gene results in multiple transcript variants; however, not all variants have been described. |
References |
|---|
| 1.Oncotarget. 2016 Dec 20;7(51):84645-84657. 2.BMC Cancer. 2014 Dec 20;14:988. |
Specification |
|
|---|---|
| Aliases | K13; CK13; WSN2 |
| Entrez GeneID | 3860 |
| Swissprot | P13646 |
| clone | 7D7A2 |
| WB Predicted band size | 49.5kDa |
| Host/Isotype | Mouse IgG1 |
| Antibody Type | Primary antibody |
| Storage | Store at 4°C short term. Aliquot and store at -20°C long term. Avoid freeze/thaw cycles. |
| Species Reactivity | Human |
| Immunogen | Purified recombinant fragment of human KRT13 (AA: 104-458) expressed in E. Coli. |
| Formulation | Purified antibody in PBS with 0.05% sodium azide |
Application |
|
|---|---|
| WB | 1/500 - 1/2000 |
| IHC | 1/200 - 1/1000 |
| FCM | 1/200 - 1/400 |
| ELISA | 1/10000 |
Product Image
-
Black line: Control Antigen (100 ng);Purple line: Antigen (10ng); Blue line: Antigen (50 ng); Red line:Antigen (100 ng)

-
Western blot analysis using KRT13 mouse mAb against A431 (1) cell lysate.

-
Flow cytometric analysis of A431 cells using KRT13 mouse mAb (green) and negative control (red).

-
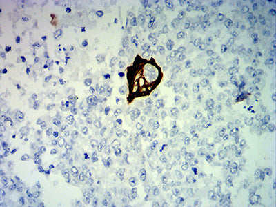
Immunohistochemical analysis of paraffin-embedded human prostate cancer tissues using KRT13 mouse mAb with DAB staining.

-
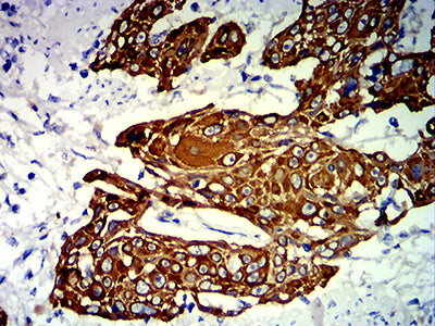
Immunohistochemical analysis of paraffin-embedded human breast cancer tissues using KRT13 mouse mAb with DAB staining.

-
Immunohistochemical analysis of paraffin-embedded human esophageal cancer tissues using KRT13 mouse mAb with DAB staining.







鄂公网安备42018502007531号

