Mouse Monoclonal Antibody to ARG1
货号:
32008
别名:
ARG1
应用:
IHC,FCM
反应种属:
Human
抗体类型:
Primary antibody
Swissprot:
P05089
规格:
目录价
在线咨询
Description |
|---|
Arginase catalyzes the hydrolysis of arginine to ornithine and urea. At least two isoforms of mammalian arginase exist (types I and II) which differ in their tissue distribution, subcellular localization, immunologic crossreactivity and physiologic function. The type I isoform encoded by this gene, is a cytosolic enzyme and expressed predominantly in the liver as a component of the urea cycle. Inherited deficiency of this enzyme results in argininemia, an autosomal recessive disorder characterized by hyperammonemia. Two transcript variants encoding different isoforms have been found for this gene. [provided by RefSeq, Sep 2011] |
References |
|---|
| 1,Medicine (Baltimore). 2020 Aug 7;99(32):e21634. 2,Medicine (Baltimore). 2019 Nov;98(47):e17694. |
Specification |
|
|---|---|
| Aliases | ARG1 |
| Entrez GeneID | 383 |
| Swissprot | P05089 |
| clone | 7D1D10 |
| WB Predicted band size | 34.7kDa |
| Host/Isotype | Mouse IgG1 |
| Antibody Type | Primary antibody |
| Storage | Store at 4°C short term. Aliquot and store at -20°C long term. Avoid freeze/thaw cycles. |
| Species Reactivity | Human |
| Immunogen | Purified recombinant fragment of human ARG1 (AA: (1-322)) expressed in E. Coli. |
| Formulation | Purified antibody in PBS with 0.05% sodium azide |
Application |
|
|---|---|
| IHC | 1/200-1/1000 |
| FCM | 1/200-1/400 |
| ELISA | 1/10000 |
Product Image
-
Black line: Control Antigen (100 ng);Purple line: Antigen (10ng); Blue line: Antigen (50 ng); Red line: Antigen (100 ng)

-
Flow cytometric analysis of BEL-7402 cells using ARG1 mouse mAb (green) and negative control (red).

-
Flow cytometric analysis of Hepg2 cells using ARG1 mouse mAb (green) and negative control (red).

-
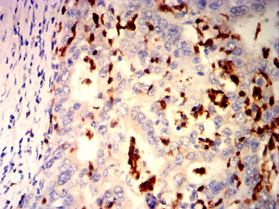
Immunohistochemical analysis of paraffin-embedded human liver cancer tissues using ARG1 mouse mAb with DAB staining.

-
Immunohistochemical analysis of paraffin-embedded human Stomach cancer tissues using ARG1 mouse mAb with DAB staining.






鄂公网安备42018502007531号

