Mouse Monoclonal Antibody to SERPINA
货号:
32009
别名:
PI; A1A; AAT; PI1; A1AT; nNIF; PRO2275; alpha1AT
应用:
IHC,FCM
反应种属:
Human
抗体类型:
Primary antibody
Swissprot:
P01009
规格:
目录价
在线咨询
Description |
|---|
The protein encoded by this gene is a serine protease inhibitor belonging to the serpin superfamily whose targets include elastase, plasmin, thrombin, trypsin, chymotrypsin, and plasminogen activator. This protein is produced in the liver, the bone marrow, by lymphocytic and monocytic cells in lymphoid tissue, and by the Paneth cells of the gut. Defects in this gene are associated with chronic obstructive pulmonary disease, emphysema, and chronic liver disease. Several transcript variants encoding the same protein have been found for this gene. [provided by RefSeq, Aug 2020] |
References |
|---|
| 1,Rev Med Virol. 2020 Aug 26;e2157. 2,Clin Liver Dis. 2020 Aug;24(3):483-49 2. |
Specification |
|
|---|---|
| Aliases | PI; A1A; AAT; PI1; A1AT; nNIF; PRO2275; alpha1AT |
| Entrez GeneID | 5265 |
| Swissprot | P01009 |
| clone | 7D3A2 |
| WB Predicted band size | 46.7kDa |
| Host/Isotype | Mouse IgG1 |
| Antibody Type | Primary antibody |
| Storage | Store at 4°C short term. Aliquot and store at -20°C long term. Avoid freeze/thaw cycles. |
| Species Reactivity | Human |
| Immunogen | Purified recombinant fragment of human SERPINA (AA: 269-419) expressed in E. Coli. |
| Formulation | Purified antibody in PBS with 0.05% sodium azide |
Application |
|
|---|---|
| IHC | 1/200-1/1000 |
| FCM | 1/200-1/400 |
| ELISA | 1/10000 |
Product Image
-
Black line: Control Antigen (100 ng);Purple line: Antigen (10ng); Blue line: Antigen (50 ng); Red line: Antigen (100 ng)

-
Flow cytometric analysis of Hela cells using SERPINA mouse mAb (green) and negative control (red).

-
Flow cytometric analysis of Jurkat cells using SERPINA mouse mAb (green) and negative control (red).

-
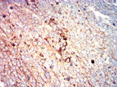
Immunohistochemical analysis of paraffin-embedded human bladder cancer tissues using SERPINA mouse mAb with DAB staining.

-
Immunohistochemical analysis of paraffin-embedded human ovarian cancer tissues using SERPINA mouse mAb with DAB staining.






鄂公网安备42018502007531号

