Mouse Monoclonal Antibody to MSH6
货号:
31995
别名:
GTBP; HSAP; p160; GTMBP; HNPCC5
应用:
WB,IHC,IF,FCM
反应种属:
Human
抗体类型:
Primary antibody
Swissprot:
P52701
规格:
目录价
在线咨询
Description |
|---|
This gene encodes a member of the DNA mismatch repair MutS family. In E. coli, the MutS protein helps in the recognition of mismatched nucleotides prior to their repair. A highly conserved region of approximately 150 aa, called the Walker-A adenine nucleotide binding motif, exists in MutS homologs. The encoded protein heterodimerizes with MSH2 to form a mismatch recognition complex that functions as a bidirectional molecular switch that exchanges ADP and ATP as DNA mismatches are bound and dissociated. Mutations in this gene may be associated with hereditary nonpolyposis colon cancer, colorectal cancer, and endometrial cancer. Transcripts variants encoding different isoforms have been described. |
References |
|---|
| 1.Gene. 2019 Jul 1;704:103-112. 2.Biochem Biophys Res Commun. 2018 Feb 19;496(4):1040-1046. |
Specification |
|
|---|---|
| Aliases | GTBP; HSAP; p160; GTMBP; HNPCC5 |
| Entrez GeneID | 2956 |
| Swissprot | P52701 |
| clone | 7D9H5 |
| WB Predicted band size | 152.8kDa |
| Host/Isotype | Mouse IgG2b |
| Antibody Type | Primary antibody |
| Storage | Store at 4°C short term. Aliquot and store at -20°C long term. Avoid freeze/thaw cycles. |
| Species Reactivity | Human |
| Immunogen | Purified recombinant fragment of human MSH6 (AA: 374-540) expressed in E. Coli. |
| Formulation | Purified antibody in PBS with 0.05% sodium azide |
Application |
|
|---|---|
| WB | 1/500 - 1/2000 |
| IHC | 1/200 - 1/1000 |
| IF | 1/200 - 1/1000 |
| FCM | 1/200 - 1/400 |
| ELISA | 1/10000 |
Product Image
-
Black line: Control Antigen (100 ng);Purple line: Antigen (10ng); Blue line: Antigen (50 ng); Red line:Antigen (100 ng)

-
Western blot analysis using MSH6 mouse mAb against SH-SY5Y (1), Hela (2), PC-3 (3), HCT116 (4), HEK293 (5), A549 (6), and HepG2 (7) cell lysate.

-
Immunofluorescence analysis of Hela cells using MSH6 mouse mAb (green). Blue: DRAQ5 fluorescent DNA dye. Red: Actin filaments have been labeled with Alexa Fluor- 555 phalloidin. Secondary antibody from Fisher (Cat#: 35503)

-
Flow cytometric analysis of Hela cells using MSH6 mouse mAb (green) and negative control (red).

-
Immunohistochemical analysis of paraffin-embedded human colon tissues using MSH6 mouse mAb with DAB staining.

-
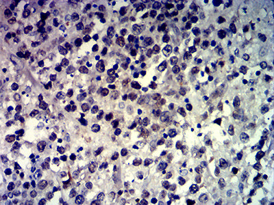
Immunohistochemical analysis of paraffin-embedded human brain tumor tissues using MSH6 mouse mAb with DAB staining.







鄂公网安备42018502007531号

