Mouse Monoclonal Antibody to PAX8
货号:
31987
别名:
应用:
WB,IHC,FCM
反应种属:
Human
抗体类型:
Primary antibody
Swissprot:
Q06710
规格:
目录价
在线咨询
Description |
|---|
This gene encodes a member of the paired box (PAX) family of transcription factors. Members of this gene family typically encode proteins that contain a paired box domain, an octapeptide, and a paired-type homeodomain. This nuclear protein is involved in thyroid follicular cell development and expression of thyroid-specific genes. Mutations in this gene have been associated with thyroid dysgenesis, thyroid follicular carcinomas and atypical follicular thyroid adenomas. Alternatively spliced transcript variants encoding different isoforms have been described. |
References |
|---|
| 1.BMC Mol Cell Biol. 2019 Dec 27;20(1):61. 2.PLoS One. 2017 Mar 24;12(3):e0173700. |
Specification |
|
|---|---|
| Entrez GeneID | 7849 |
| Swissprot | Q06710 |
| clone | 1D6E2 |
| WB Predicted band size | 48.2kDa |
| Host/Isotype | Mouse IgG1 |
| Antibody Type | Primary antibody |
| Storage | Store at 4°C short term. Aliquot and store at -20°C long term. Avoid freeze/thaw cycles. |
| Species Reactivity | Human |
| Immunogen | Purified recombinant fragment of human PAX8 (AA: 60-261) expressed in E. Coli. |
| Formulation | Purified antibody in PBS with 0.05% sodium azide |
Application |
|
|---|---|
| WB | 1/500 - 1/2000 |
| IHC | 1/200-1/1000 |
| FCM | 1/200-1/400 |
| ELISA | 1/10000 |
Product Image
-
Black line: Control Antigen (100 ng);Purple line: Antigen (10ng); Blue line: Antigen (50 ng); Red line: Antigen (100 ng)

-
Western blot analysis using PAX8 mouse mAb against HL-60 (1), HEK293 (2), Raji (3), Hela (4), Jurkat (5), A431 (6), A549 (7), and K562 (8) cell lysate.

-
Flow cytometric analysis of SK-OV-3 cells using PAX8 mouse mAb (green) and negative control (red).

-
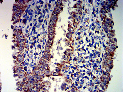
Immunohistochemical analysis of paraffin-embedded human liver cancer tissues using PAX8 mouse mAb with DAB staining.

-
Immunohistochemical analysis of paraffin-embedded human endometrial cancer tissues using PAX8 mouse mAb with DAB staining.






鄂公网安备42018502007531号

