Mouse Monoclonal Antibody to CDX2
货号:
31979
别名:
CDX3; CDX-3; CDX2/AS
应用:
IHC,FCM
反应种属:
Human
抗体类型:
Primary antibody
Swissprot:
Q99626
规格:
目录价
在线咨询
Description |
|---|
This gene is a member of the caudal-related homeobox transcription factor gene family. The encoded protein is a major regulator of intestine-specific genes involved in cell growth an differentiation. This protein also plays a role in early embryonic development of the intestinal tract. Aberrant expression of this gene is associated with intestinal inflammation and tumorigenesis. [provided by RefSeq, Jan 2012] |
References |
|---|
| 1,Virchows Arch. 2020 Jul;477(1):21-31. 2,Am J Surg Pathol. 2019 Nov;43(11):1473-1482. |
Specification |
|
|---|---|
| Aliases | CDX3; CDX-3; CDX2/AS |
| Entrez GeneID | 1045 |
| Swissprot | Q99626 |
| clone | 5C11H10 |
| WB Predicted band size | 33.5kDa |
| Host/Isotype | Mouse IgG1 |
| Antibody Type | Primary antibody |
| Storage | Store at 4°C short term. Aliquot and store at -20°C long term. Avoid freeze/thaw cycles. |
| Species Reactivity | Human |
| Immunogen | Purified recombinant fragment of human CDX2 (AA: 1-180) expressed in E. Coli. |
| Formulation | Purified antibody in PBS with 0.05% sodium azide |
Application |
|
|---|---|
| IHC | 1/200-1/1000 |
| FCM | 1/200-1/400 |
| ELISA | 1/10000 |
Product Image
-
Black line: Control Antigen (100 ng);Purple line: Antigen (10ng); Blue line: Antigen (50 ng); Red line: Antigen (100 ng)

-
Flow cytometric analysis of SK-OV-3 cells using CDX2 mouse mAb (green) and negative control (red).

-
Flow cytometric analysis of Jurkat cells using CDX2 mouse mAb (green) and negative control (red).

-
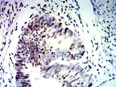
Immunohistochemical analysis of paraffin-embedded human bladder Cancer tissues using CDX2 mouse mAb with DAB staining.

-
Immunohistochemical analysis of paraffin-embedded human rectal cancer tissues using CDX2 mouse mAb with DAB staining.






鄂公网安备42018502007531号

