Mouse Monoclonal Antibody to PMS2
Description |
|---|
The protein encoded by this gene is a key component of the mismatch repair system that functions to correct DNA mismatches and small insertions and deletions that can occur during DNA replication and homologous recombination. This protein forms heterodimers with the gene product of the mutL homolog 1 (MLH1) gene to form the MutL-alpha heterodimer. The MutL-alpha heterodimer possesses an endonucleolytic activity that is activated following recognition of mismatches and insertion/deletion loops by the MutS-alpha and MutS-beta heterodimers, and is necessary for removal of the mismatched DNA. There is a DQHA(X)2E(X)4E motif found at the C-terminus of the protein encoded by this gene that forms part of the active site of the nuclease. Mutations in this gene have been associated with hereditary nonpolyposis colorectal cancer (HNPCC; also known as Lynch syndrome) and Turcot syndrome. |
References |
|---|
| 1,Cancer Epidemiol Biomarkers Prev. 2019 Jun;28(6):1010-1014. 2,Hum Mutat. 2019 Jul;40(7):904-907. |
Specification |
|
|---|---|
| Aliases | MLH4; PMSL2; HNPCC4; PMS2CL |
| Entrez GeneID | 5395 |
| Swissprot | P54278 |
| clone | 6G12E1 |
| WB Predicted band size | 95.8kDa |
| Host/Isotype | Mouse IgG1 |
| Antibody Type | Primary antibody |
| Storage | Store at 4°C short term. Aliquot and store at -20°C long term. Avoid freeze/thaw cycles. |
| Species Reactivity | Human |
| Immunogen | Purified recombinant fragment of human PMS2 (AA: (431-580)) expressed in E. Coli. |
| Formulation | Purified antibody in PBS with 0.05% sodium azide |
Application |
|
|---|---|
| WB | 1/500 - 1/2000 |
| IHC | 1/200-1/1000 |
| FCM | 1/200-1/400 |
| ELISA | 1/10000 |
Product Image
-
Black line: Control Antigen (100 ng);Purple line: Antigen (10ng); Blue line: Antigen (50 ng); Red line: Antigen (100 ng)

-
Flow cytometric analysis of A431 cells using PMS2 mouse mAb (green) and negative control (red).

-
Flow cytometric analysis of Hepg2 cells using PMS2 mouse mAb (green) and negative control (red).

-
Flow cytometric analysis of NIH3T3 cells using PMS2 mouse mAb (green) and negative control (red).

-
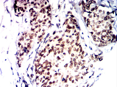
Immunohistochemical analysis of paraffin-embedded human bladder cancer tissues using PMS2 mouse mAb with DAB staining.

-
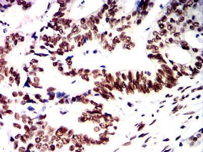
Immunohistochemical analysis of paraffin-embedded human rectal cancer tissues using PMS2 mouse mAb with DAB staining.







鄂公网安备42018502007531号

