Mouse Monoclonal Antibody to CD5
货号:
31976
别名:
T1; LEU1
应用:
WB,IHC,FCM
反应种属:
Human, Mouse
抗体类型:
Primary antibody
Swissprot:
P06127
规格:
目录价
在线咨询
Description |
|---|
This gene encodes a member of the scavenger receptor cysteine-rich (SRCR) superfamily. Members of this family are secreted or membrane-anchored proteins mainly found in cells associated with the immune system. This protein is a type-I transmembrane glycoprotein found on the surface of thymocytes, T lymphocytes and a subset of B lymphocytes. The encoded protein contains three SRCR domains and may act as a receptor to regulate T-cell proliferation. Alternative splicing results in multiple transcript variants encoding different isoforms. [provided by RefSeq, Oct 2016] |
References |
|---|
| 1,J Hematol Oncol. 2019 May 16;12(1):49. 2,Am J Surg Pathol. 2019 Aug;43(8):1052-1060. |
Specification |
|
|---|---|
| Aliases | T1; LEU1 |
| Entrez GeneID | 921 |
| Swissprot | P06127 |
| clone | 6C3B2 |
| WB Predicted band size | 54.6kDa |
| Host/Isotype | Mouse IgG1 |
| Antibody Type | Primary antibody |
| Storage | Store at 4°C short term. Aliquot and store at -20°C long term. Avoid freeze/thaw cycles. |
| Species Reactivity | Human, Mouse |
| Immunogen | Purified recombinant fragment of human CD5 (AA: 403-495) expressed in E. Coli. |
| Formulation | Purified antibody in PBS with 0.05% sodium azide |
Application |
|
|---|---|
| WB | 1/500 - 1/2000 |
| IHC | 1/200-1/1000 |
| FCM | 1/200-1/400 |
| ELISA | 1/10000 |
Product Image
-
Black line: Control Antigen (100 ng);Purple line: Antigen (10ng); Blue line: Antigen (50 ng); Red line: Antigen (100 ng)

-
Western blot analysis using CD5 mouse mAb against MOLT4 (1), MOLT4 (2),U937 (3),L1210 (4) ,HEK239 (5) ,and HEK293-6e (6) cell lysate.

-
Flow cytometric analysis of THP-1 cells using CD5 mouse mAb (green) and negative control (red).

-
Flow cytometric analysis of Jurkat cells using CD5 mouse mAb (green) and negative control (red).

-
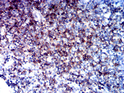
Immunohistochemical analysis of paraffin-embedded human tonsil tissues using CD5 mouse mAb with DAB staining.






鄂公网安备42018502007531号

