Mouse Monoclonal Antibody to CD99
货号:
31946
别名:
MIC2; HBA71; MIC2X; MIC2Y; MSK5X
应用:
WB,IHC,IF,FCM
反应种属:
Human
抗体类型:
Primary antibody
Swissprot:
P14209
规格:
目录价
在线咨询
Description |
|---|
The protein encoded by this gene is a cell surface glycoprotein involved in leukocyte migration, T-cell adhesion, ganglioside GM1 and transmembrane protein transport, and T-cell death by a caspase-independent pathway. In addition, the encoded protein may have the ability to rearrange the actin cytoskeleton and may also act as an oncosuppressor in osteosarcoma. This gene is found in the pseudoautosomal region of chromosomes X and Y and escapes X-chromosome inactivation. There is a related pseudogene located immediately adjacent to this locus. |
References |
|---|
| 1,Int J Mol Sci. 2019 Mar 6;20(5):1137; 2,J BUON. Mar-Apr 2019;24(2):770-778. |
Specification |
|
|---|---|
| Aliases | MIC2; HBA71; MIC2X; MIC2Y; MSK5X |
| Entrez GeneID | 4267 |
| Swissprot | P14209 |
| clone | 7E11C4 |
| WB Predicted band size | 18.8kDa |
| Host/Isotype | Mouse IgG1 |
| Antibody Type | Primary antibody |
| Storage | Store at 4°C short term. Aliquot and store at -20°C long term. Avoid freeze/thaw cycles. |
| Species Reactivity | Human |
| Immunogen | Purified recombinant fragment of human CD99 (AA: 1-185) expressed in E. Coli. |
| Formulation | Purified antibody in PBS with 0.05% sodium azide |
Application |
|
|---|---|
| WB | 1/500 - 1/2000 |
| IHC | 1/200-1/1000 |
| IF | 1/200 - 1/1000 |
| FCM | 1/200-1/400 |
| ELISA | 1/10000 |
Product Image
-
Black line: Control Antigen (100 ng);Purple line: Antigen (10ng); Blue line: Antigen (50 ng); Red line: Antigen (100 ng)

-
Western blot analysis using CD99 mouse mAb against THP-1 (1), U937 (2), and MOLT4 (3) cell lysate.

-
Immunofluorescence analysis of Hela cells using CD99 mouse mAb (green). Blue: DRAQ5 fluorescent DNA dye. Red: Actin filaments have been labeled with Alexa Fluor- 555 phalloidin. Secondary antibody from Fisher (Cat#: 35503)

-
Flow cytometric analysis of Jurkat cells using CD99 mouse mAb (green) and negative control (red).

-
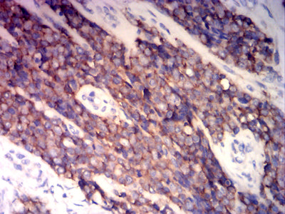
Immunohistochemical analysis of paraffin-embedded human ewing sarcoma tissues using CD99 mouse mAb with DAB staining.

-
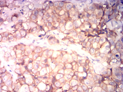
Immunohistochemical analysis of paraffin-embedded human bladder cancer tissues using CD99 mouse mAb with DAB staining.







鄂公网安备42018502007531号

