Mouse Monoclonal Antibody to GATA3
货号:
31949
别名:
HDR; HDRS
应用:
WB,IHC,FCM
反应种属:
Human
抗体类型:
Primary antibody
Swissprot:
P23771
规格:
目录价
在线咨询
Description |
|---|
This gene encodes a protein which belongs to the GATA family of transcription factors. The protein contains two GATA-type zinc fingers and is an important regulator of T-cell development and plays an important role in endothelial cell biology. Defects in this gene are the cause of hypoparathyroidism with sensorineural deafness and renal dysplasia. |
References |
|---|
| 1,Int J Biol Sci. 2019 Sep 7;15(12):2522-2537; 2,Arthritis Res Ther. 2019 Jun 25;21(1):156;3,Front Med. 2019 Dec;13(6):730-740. |
Specification |
|
|---|---|
| Aliases | HDR; HDRS |
| Entrez GeneID | 2625 |
| Swissprot | P23771 |
| clone | 1A10A11 |
| WB Predicted band size | 48kDa |
| Host/Isotype | Mouse IgG1 |
| Antibody Type | Primary antibody |
| Storage | Store at 4°C short term. Aliquot and store at -20°C long term. Avoid freeze/thaw cycles. |
| Species Reactivity | Human |
| Immunogen | Purified recombinant fragment of human GATA3 (AA: (294-443)) expressed in E. Coli. |
| Formulation | Purified antibody in PBS with 0.05% sodium azide |
Application |
|
|---|---|
| WB | 1/500 - 1/2000 |
| IHC | 1/200-1/1000 |
| FCM | 1/200-1/400 |
| ELISA | 1/10000 |
Product Image
-
Black line: Control Antigen (100 ng);Purple line: Antigen (10ng); Blue line: Antigen (50 ng); Red line: Antigen (100 ng)

-
Western blot analysis using GATA3 mouse mAb against T47D (1) cell lysate.

-
Flow cytometric analysis of Hela cells using GATA3 mouse mAb (green) and negative control (red).

-
Flow cytometric analysis of SW-620 cells using GATA3 mouse mAb (green) and negative control (red).

-
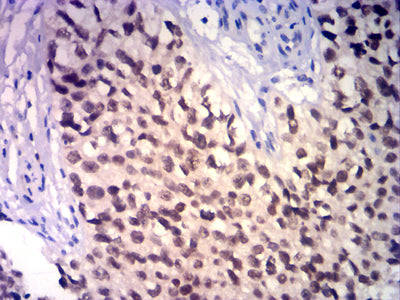
Immunohistochemical analysis of paraffin-embedded human bladder cancer tissues using GATA3 mouse mAb with DAB staining.






鄂公网安备42018502007531号

