Mouse Monoclonal Antibody to CDKN1C
货号:
31915
别名:
BWS; WBS; p57; BWCR; KIP2; p57Kip2
应用:
WB,IHC,IF,FCM
反应种属:
Human
抗体类型:
Primary antibody
Swissprot:
P49918
规格:
目录价
在线咨询
Description |
|---|
This gene is imprinted, with preferential expression of the maternal allele. The encoded protein is a tight-binding, strong inhibitor of several G1 cyclin/Cdk complexes and a negative regulator of cell proliferation. Mutations in this gene are implicated in sporadic cancers and Beckwith-Wiedemann syndorome, suggesting that this gene is a tumor suppressor candidate. Three transcript variants encoding two different isoforms have been found for this gene. |
References |
|---|
| 1.Liver Int. 2019 Jan;39(1):147-157. 2.Int J Mol Sci. 2018 Apr 2;19(4):1055. |
Specification |
|
|---|---|
| Aliases | BWS; WBS; p57; BWCR; KIP2; p57Kip2 |
| Entrez GeneID | 1028 |
| Swissprot | P49918 |
| clone | 1F4A9 |
| WB Predicted band size | 32.2kDa |
| Host/Isotype | Mouse IgG1 |
| Antibody Type | Primary antibody |
| Storage | Store at 4°C short term. Aliquot and store at -20°C long term. Avoid freeze/thaw cycles. |
| Species Reactivity | Human |
| Immunogen | Purified recombinant fragment of human CDKN1C expressed in E. Coli. |
| Formulation | Purified antibody in PBS with 0.05% sodium azide |
Application |
|
|---|---|
| WB | 1/500 - 1/2000 |
| IHC | 1/200-1/1000 |
| IF | 1/200 - 1/1000 |
| FCM | 1/200-1/400 |
| ELISA | 1/10000 |
Product Image
-
Black line: Control Antigen (100 ng);Purple line: Antigen (10ng); Blue line: Antigen (50 ng); Red line: Antigen (100 ng)

-
Western blot analysis using CDKN1C mouse mAb against SK-Br-3 (1 cell lysate.

-
Flow cytometric analysis of MCF-7 cells using CDKN1C mouse mAb (green) and negative control (red).

-
Immunohistochemical analysis of paraffin-embedded human testis tissues using CDKN1C mouse mAb with DAB staining.

-
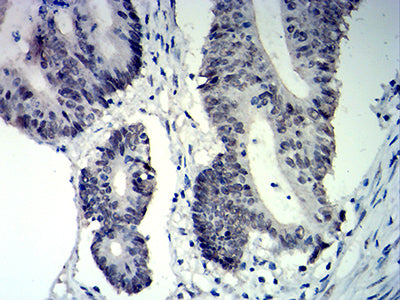
Immunohistochemical analysis of paraffin-embedded human colon cancer tissues using CDKN1C mouse mAb with DAB staining.






鄂公网安备42018502007531号

