Mouse Monoclonal Antibody to CD45R
Description |
|---|
The protein encoded by this gene is a member of the protein tyrosine phosphatase (PTP) family. PTPs are known to be signaling molecules that regulate a variety of cellular processes including cell growth, differentiation, mitosis, and oncogenic transformation. This PTP contains an extracellular domain, a single transmembrane segment and two tandem intracytoplasmic catalytic domains, and thus is classified as a receptor type PTP. This PTP has been shown to be an essential regulator of T- and B-cell antigen receptor signaling. It functions through either direct interaction with components of the antigen receptor complexes, or by activating various Src family kinases required for the antigen receptor signaling. This PTP also suppresses JAK kinases, and thus functions as a regulator of cytokine receptor signaling. Alternatively spliced transcripts variants of this gene, which encode distinct isoforms, have been reported. |
References |
|---|
| 1.J Allergy Clin Immunol. 2016 Sep;138(3):839-851.e8. 2.Haematologica. 2014 Jan;99(1):103-10. |
Specification |
|
|---|---|
| Aliases | PTPRC; LCA; LY5; B220; L-CA; T200; CD45; GP180 |
| Entrez GeneID | 5788 |
| Swissprot | P08575 |
| clone | 2H3E2 |
| WB Predicted band size | 147.5kDa |
| Host/Isotype | Mouse IgG1 |
| Antibody Type | Primary antibody |
| Storage | Store at 4°C short term. Aliquot and store at -20°C long term. Avoid freeze/thaw cycles. |
| Species Reactivity | Human, Mouse, Rat |
| Immunogen | Purified recombinant fragment of human CD45R (AA: extra 378-577) expressed in E. Coli. |
| Formulation | Purified antibody in PBS with 0.05% sodium azide |
Application |
|
|---|---|
| WB | 1/500 - 1/2000 |
| IHC | 1/200-1/1000 |
| IF | 1/200 - 1/1000 |
| FCM | 1/200-1/400 |
| ELISA | 1/10000 |
Product Image
-
Black line: Control Antigen (100 ng);Purple line: Antigen (10ng); Blue line: Antigen (50 ng); Red line: Antigen (100 ng)

-
Western blot analysis using CD45R mouse mAb against Jurkat (1), Rat Serum (2), and mouse Serum (3) cell lysate.

-
Immunofluorescence analysis of Hela cells using CD45R mouse mAb (green). Blue: DRAQ5 fluorescent DNA dye. Red: Actin filaments have been labeled with Alexa Fluor- 555 phalloidin. Secondary antibody from Fisher (Cat#: 35503)

-
Flow cytometric analysis of Hela cells using CD45R mouse mAb (green) and negative control (red).

-
Flow cytometric analysis of Jurkat cells using CD45R mouse mAb (green) and negative control (red).

-
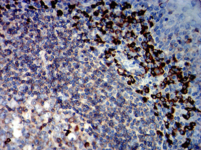
Immunohistochemical analysis of paraffin-embedded human tonsil tissues using CD45R mouse mAb with DAB staining.

-
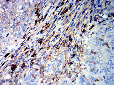
Immunohistochemical analysis of paraffin-embedded human cervical cancer tissues using CD45R mouse mAb with DAB staining.








鄂公网安备42018502007531号

