Mouse Monoclonal Antibody to ALB
货号:
31921
别名:
HSA; PRO0883; PRO0903; PRO1341
应用:
WB,IHC,IF,FCM
反应种属:
Human, Monkey
抗体类型:
Primary antibody
Swissprot:
P02768
规格:
目录价
在线咨询
Description |
|---|
This gene encodes the most abundant protein in human blood. This protein functions in the regulation of blood plasma colloid osmotic pressure and acts as a carrier protein for a wide range of endogenous molecules including hormones, fatty acids, and metabolites, as well as exogenous drugs. Additionally, this protein exhibits an esterase-like activity with broad substrate specificity. The encoded preproprotein is proteolytically processed to generate the mature protein. A peptide derived from this protein, EPI-X4, is an endogenous inhibitor of the CXCR4 chemokine receptor. [provided by RefSeq, Jul 2016] |
References |
|---|
| 1,Subcell Biochem.2020;94:383-397; 2,Int Heart J.2020 Mar 28;61(2):332-337. |
Specification |
|
|---|---|
| Aliases | HSA; PRO0883; PRO0903; PRO1341 |
| Entrez GeneID | 213 |
| Swissprot | P02768 |
| clone | 1F5H7 |
| WB Predicted band size | 69.4kDa |
| Host/Isotype | Mouse IgG2b |
| Antibody Type | Primary antibody |
| Storage | Store at 4°C short term. Aliquot and store at -20°C long term. Avoid freeze/thaw cycles. |
| Species Reactivity | Human, Monkey |
| Immunogen | Purified recombinant fragment of human ALB (AA: 410-609) expressed in E. Coli. |
| Formulation | Purified antibody in PBS with 0.05% sodium azide |
Application |
|
|---|---|
| IHC | 1/200-1/1000 |
| IF | 1/200 - 1/1000 |
| FCM | 1/200-1/400 |
| ELISA | 1/10000 |
Product Image
-
Black line: Control Antigen (100 ng);Purple line: Antigen (10ng); Blue line: Antigen (50 ng); Red line: Antigen (100 ng)

-
Western blot analysis using ALB mouse mAb against COS-7 (1), HepG2 (2),serum (3),Liver (4),BEL-7402 (5), and HL7702 (6) cell lysate.

-
Immunofluorescence analysis of Hela cells using ALB mouse mAb (green). Blue: DRAQ5 fluorescent DNA dye. Red: Actin filaments have been labeled with Alexa Fluor- 555 phalloidin. Secondary antibody from Fisher (Cat#: 35503)

-
Flow cytometric analysis of HepG2 cells using ALB mouse mAb (green) and negative control (red).

-
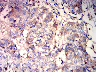
Immunohistochemical analysis of paraffin-embedded human bladder cancer tissues using ALB mouse mAb with DAB staining.






鄂公网安备42018502007531号

