Mouse Monoclonal Antibody to GSN
货号:
31930
别名:
ADF; AGEL
应用:
IHC,FCM
反应种属:
Human
抗体类型:
Primary antibody
Swissprot:
P06396
规格:
目录价
在线咨询
Description |
|---|
The protein encoded by this gene binds to the "plus" ends of actin monomers and filaments to prevent monomer exchange. The encoded calcium-regulated protein functions in both assembly and disassembly of actin filaments. Defects in this gene are a cause of familial amyloidosis Finnish type (FAF). Multiple transcript variants encoding several different isoforms have been found for this gene. |
References |
|---|
| 1,Transl Res.2018 Dec;202:109-119; 2,Case Reports Brain Behav.2018 Dec;8(12):e01151. |
Specification |
|
|---|---|
| Aliases | ADF; AGEL |
| Entrez GeneID | 2934 |
| Swissprot | P06396 |
| clone | 5E3B9 |
| WB Predicted band size | 85.7kDa |
| Host/Isotype | Mouse IgG1 |
| Antibody Type | Primary antibody |
| Storage | Store at 4°C short term. Aliquot and store at -20°C long term. Avoid freeze/thaw cycles. |
| Species Reactivity | Human |
| Immunogen | Purified recombinant fragment of human GSN (AA: (673-783)) expressed in E. Coli. |
| Formulation | Purified antibody in PBS with 0.05% sodium azide |
Application |
|
|---|---|
| IHC | 1/200-1/1000 |
| FCM | 1/200-1/400 |
| ELISA | 1/10000 |
Product Image
-
Black line: Control Antigen (100 ng);Purple line: Antigen (10ng); Blue line: Antigen (50 ng); Red line: Antigen (100 ng)

-
Flow cytometric analysis of Jurkat cells using GSN mouse mAb (green) and negative control (red).

-
Flow cytometric analysis of THP-1 cells using GSN mouse mAb (green) and negative control (red).

-
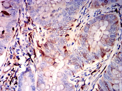
Immunohistochemical analysis of paraffin-embedded human esophageal cancer tissues using GSN mouse mAb with DAB staining.

-
Immunohistochemical analysis of paraffin-embedded human rectal cancer tissues using GSN mouse mAb with DAB staining.






鄂公网安备42018502007531号

