Mouse Monoclonal Antibody to CD267
货号:
31923
别名:
CVID; RYZN; TACI; CD267; CVID2; IGAD2; TNFRSF14B
应用:
IHC,FCM
反应种属:
Human
抗体类型:
Primary antibody
Swissprot:
O14836
规格:
目录价
在线咨询
Description |
|---|
The protein encoded by this gene is a lymphocyte-specific member of the tumor necrosis factor (TNF) receptor superfamily. It interacts with calcium-modulator and cyclophilin ligand (CAML). The protein induces activation of the transcription factors NFAT, AP1, and NF-kappa-B and plays a crucial role in humoral immunity by interacting with a TNF ligand. This gene is located within the Smith-Magenis syndrome region on chromosome 17. [provided by RefSeq, Jul 2008] |
References |
|---|
| 1,Front Immunol. 2018 Oct 2;9:2125. 2,J Thromb Haemost. 2017 Nov;15(11):2259-2269. |
Specification |
|
|---|---|
| Aliases | CVID; RYZN; TACI; CD267; CVID2; IGAD2; TNFRSF14B |
| Entrez GeneID | 23495 |
| Swissprot | O14836 |
| clone | 1F6B3 |
| WB Predicted band size | 31.8kDa |
| Host/Isotype | Mouse IgG1 |
| Antibody Type | Primary antibody |
| Storage | Store at 4°C short term. Aliquot and store at -20°C long term. Avoid freeze/thaw cycles. |
| Species Reactivity | Human |
| Immunogen | Purified recombinant fragment of human CD267 (AA: extra(1-165)) expressed in E. Coli. |
| Formulation | Purified antibody in PBS with 0.05% sodium azide |
Application |
|
|---|---|
| IHC | 1/200-1/1000 |
| FCM | 1/200-1/400 |
| ELISA | 1/10000 |
Product Image
-
Black line: Control Antigen (100 ng);Purple line: Antigen (10ng); Blue line: Antigen (50 ng); Red line: Antigen (100 ng)

-
Flow cytometric analysis of Jurkat cells using CD267 mouse mAb (green) and negative control (red).

-
Flow cytometric analysis of THP-1 cells using CD267 mouse mAb (green) and negative control (red).

-
Immunohistochemical analysis of paraffin-embedded human cervical cancer tissues using CD267 mouse mAb with DAB staining.

-
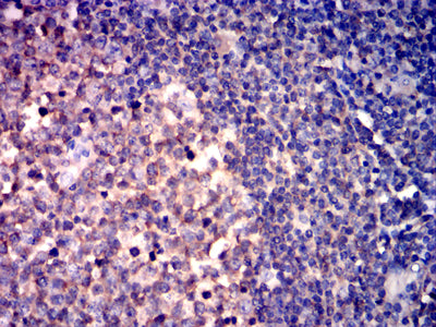
Immunohistochemical analysis of paraffin-embedded human lymphoid tissues using CD267 mouse mAb with DAB staining.






鄂公网安备42018502007531号

