Mouse Monoclonal Antibody to TET2
货号:
31913
别名:
MDS; KIAA1546
应用:
WB,IHC,IF,FCM
反应种属:
Human
抗体类型:
Primary antibody
Swissprot:
Q6N021
规格:
目录价
在线咨询
Description |
|---|
The protein encoded by this gene is a methylcytosine dioxygenase that catalyzes the conversion of methylcytosine to 5-hydroxymethylcytosine. The encoded protein is involved in myelopoiesis, and defects in this gene have been associated with several myeloproliferative disorders. Two variants encoding different isoforms have been found for this gene. |
References |
|---|
| 1.Int J Lab Hematol. 2019 Oct;41(5):702-709. 2.Clin Epigenetics. 2019 Mar 27;11(1):54. |
Specification |
|
|---|---|
| Aliases | MDS; KIAA1546 |
| Entrez GeneID | 54790 |
| Swissprot | Q6N021 |
| clone | 5H8C7 |
| WB Predicted band size | 223.8kDa |
| Host/Isotype | Mouse IgG1 |
| Antibody Type | Primary antibody |
| Storage | Store at 4°C short term. Aliquot and store at -20°C long term. Avoid freeze/thaw cycles. |
| Species Reactivity | Human |
| Immunogen | Purified recombinant fragment of human TET2 expressed in E. Coli. |
| Formulation | Purified antibody in PBS with 0.05% sodium azide |
Application |
|
|---|---|
| WB | 1/500 - 1/2000 |
| IHC | 1/200-1/1000 |
| IF | 1/200 - 1/1000 |
| FCM | 1/200-1/400 |
| ELISA | 1/10000 |
Product Image
-
Black line: Control Antigen (100 ng);Purple line: Antigen (10ng); Blue line: Antigen (50 ng); Red line: Antigen (100 ng)

-
Western blot analysis using TET2 mouse mAb against HL-60 (1) and SK-N-SH (2) cell lysate.

-
Immunofluorescence analysis of Hela cells using TET2 mouse mAb (green). Blue: DRAQ5 fluorescent DNA dye. Red: Actin filaments have been labeled with Alexa Fluor- 555 phalloidin. Secondary antibody from Fisher (Cat#: 35503)

-
Flow cytometric analysis of Hela cells using TET2 mouse mAb (green) and negative control (red).

-
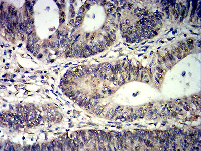
Immunohistochemical analysis of paraffin-embedded human rectum cancer tissues using TET2 mouse mAb with DAB staining.






鄂公网安备42018502007531号

