Mouse Monoclonal Antibody to MUC2
货号:
31901
别名:
MLP; SMUC; MUC-2
应用:
IHC,FCM
反应种属:
Human
抗体类型:
Primary antibody
Swissprot:
Q02817
规格:
目录价
在线咨询
Description |
|---|
This gene encodes a member of the mucin protein family. Mucins are high molecular weight glycoproteins produced by many epithelial tissues. The protein encoded by this gene is secreted and forms an insoluble mucous barrier that protects the gut lumen. The protein polymerizes into a gel of which 80% is composed of oligosaccharide side chains by weight. The protein features a central domain containing tandem repeats rich in threonine and proline that varies between 50 and 115 copies in different individuals. Downregulation of this gene has been observed in patients with Crohn disease and ulcerative colitis. |
References |
|---|
| 1.Breast Cancer Res Treat. 2019 Jan;173(2):289-299. 2.Ann Am Thorac Soc. 2016 May;13(5):636-42. |
Specification |
|
|---|---|
| Aliases | MLP; SMUC; MUC-2 |
| Entrez GeneID | 4583 |
| Swissprot | Q02817 |
| clone | 1C8A5 |
| WB Predicted band size | 540kDa |
| Host/Isotype | Mouse IgG1 |
| Antibody Type | Primary antibody |
| Storage | Store at 4°C short term. Aliquot and store at -20°C long term. Avoid freeze/thaw cycles. |
| Species Reactivity | Human |
| Immunogen | Purified recombinant fragment of human MUC2 (AA: 4373-4557) expressed in E. Coli. |
| Formulation | Purified antibody in PBS with 0.05% sodium azide |
Application |
|
|---|---|
| IHC | 1/200-1/1000 |
| FCM | 1/200-1/400 |
| ELISA | 1/10000 |
Product Image
-
Black line: Control Antigen (100 ng);Purple line: Antigen (10ng); Blue line: Antigen (50 ng); Red line: Antigen (100 ng)

-
Flow cytometric analysis of Hela cells using MUC2 mouse mAb (green) and negative control (red).

-
Flow cytometric analysis of HepG2 cells using MUC2 mouse mAb (green) and negative control (red).

-
Immunohistochemical analysis of paraffin-embedded human colon tissues using MUC2 mouse mAb with DAB staining.

-
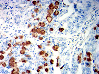
Immunohistochemical analysis of paraffin-embedded human rectum cancer tissues using MUC2 mouse mAb with DAB staining.






鄂公网安备42018502007531号

