Mouse Monoclonal Antibody to PSAP
Description |
|---|
This gene encodes a highly conserved preproprotein that is proteolytically processed to generate four main cleavage products including saposins A, B, C, and D. Each domain of the precursor protein is approximately 80 amino acid residues long with nearly identical placement of cysteine residues and glycosylation sites. Saposins A-D localize primarily to the lysosomal compartment where they facilitate the catabolism of glycosphingolipids with short oligosaccharide groups. The precursor protein exists both as a secretory protein and as an integral membrane protein and has neurotrophic activities. Mutations in this gene have been associated with Gaucher disease and metachromatic leukodystrophy. Alternative splicing results in multiple transcript variants, at least one of which encodes an isoform that is proteolytically processed. |
References |
|---|
| 1.J Pathol. 2019 Sep;249(1):26-38. 2.Breast Cancer Res. 2015 Sep 4;17:123. |
Specification |
|
|---|---|
| Aliases | GLBA; SAP1; SAP2 |
| Entrez GeneID | 5660 |
| Swissprot | P07602 |
| clone | 3B4A8 |
| WB Predicted band size | 58.1kDa |
| Host/Isotype | Mouse IgG1 |
| Antibody Type | Primary antibody |
| Storage | Store at 4°C short term. Aliquot and store at -20°C long term. Avoid freeze/thaw cycles. |
| Species Reactivity | Human, Rat |
| Immunogen | Purified recombinant fragment of human PSAP (AA: 17-216) expressed in E. Coli. |
| Formulation | Purified antibody in PBS with 0.05% sodium azide |
Application |
|
|---|---|
| WB | 1/500 - 1/2000 |
| IHC | 1/200-1/1000 |
| IF | 1/200 - 1/1000 |
| FCM | 1/200-1/400 |
| ELISA | 1/10000 |
Product Image
-
Black line: Control Antigen (100 ng);Purple line: Antigen (10ng); Blue line: Antigen (50 ng); Red line: Antigen (100 ng)

-
Western blot analysis using PSAP mouse mAb against HEK293 (1), C6 (2), and HT1080 (3) cell lysate.

-
Immunofluorescence analysis of Hela cells using PSAP mouse mAb (green). Blue: DRAQ5 fluorescent DNA dye. Red: Actin filaments have been labeled with Alexa Fluor- 555 phalloidin. Secondary antibody from Fisher (Cat#: 35503)

-
Flow cytometric analysis of Hela cells using PSAP mouse mAb (green) and negative control (red).

-
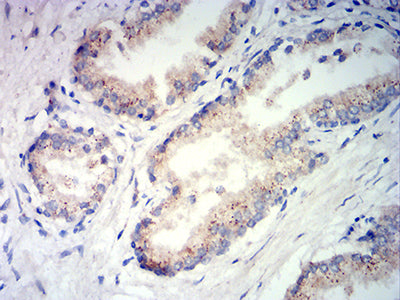
Immunohistochemical analysis of paraffin-embedded human prostate tissues using PSAP mouse mAb with DAB staining.

-
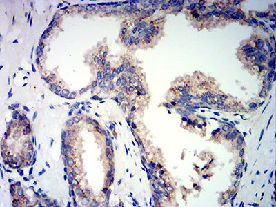
Immunohistochemical analysis of paraffin-embedded human prostate cancer tissues using PSAP mouse mAb with DAB staining.







鄂公网安备42018502007531号

