Mouse Monoclonal Antibody to NCAM1
货号:
31893
别名:
CD56; NCAM; MSK39
应用:
WB,IHC,FCM
反应种属:
Human, Mouse, Monkey
抗体类型:
Primary antibody
Swissprot:
P13591
规格:
目录价
在线咨询
Description |
|---|
This gene encodes a cell adhesion protein which is a member of the immunoglobulin superfamily. The encoded protein is involved in cell-to-cell interactions as well as cell-matrix interactions during development and differentiation. The encoded protein has been shown to be involved in development of the nervous system, and for cells involved in the expansion of T cells and dendritic cells which play an important role in immune surveillance. Alternative splicing results in multiple transcript variants. |
References |
|---|
| 1?Clin Chim Acta. 2019 Aug;495:374-376.2?Blood. 2019 May 23;133(21):2305-2319. |
Specification |
|
|---|---|
| Aliases | CD56; NCAM; MSK39 |
| Entrez GeneID | 4684 |
| Swissprot | P13591 |
| clone | 5B1G11 |
| WB Predicted band size | 94.6kDa |
| Host/Isotype | Mouse IgG1 |
| Antibody Type | Primary antibody |
| Storage | Store at 4°C short term. Aliquot and store at -20°C long term. Avoid freeze/thaw cycles. |
| Species Reactivity | Human, Mouse, Monkey |
| Immunogen | Purified recombinant fragment of human NCAM1 (AA: extra(568-708)) expressed in E. Coli. |
| Formulation | Purified antibody in PBS with 0.05% sodium azide |
Application |
|
|---|---|
| WB | 1/500 - 1/2000 |
| IHC | 1/200-1/1000 |
| FCM | 1/200-1/400 |
| ELISA | 1/10000 |
Product Image
-
Black line: Control Antigen (100 ng);Purple line: Antigen (10ng); Blue line: Antigen (50 ng); Red line: Antigen (100 ng)

-
Western blot analysis using NCAM1 mouse mAb against SH-SY5Y (1), COS-7 (2), and NIH3T3 (3) cell lysate.

-
Flow cytometric analysis of Hela cells using NCAM1 mouse mAb (green) and negative control (red).

-
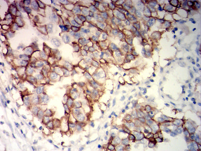
Immunohistochemical analysis of paraffin-embedded human breast cancer tissues using NCAM1 mouse mAb with DAB staining.

-
Immunohistochemical analysis of paraffin-embedded human ovarian cancer tissues using NCAM1 mouse mAb with DAB staining.






鄂公网安备42018502007531号

