Mouse Monoclonal Antibody to GSTP1
货号:
31894
别名:
PI; DFN7; GST3; GSTP; FAEES3; HEL-S-22
应用:
WB,IHC,IF,FCM
反应种属:
Human
抗体类型:
Primary antibody
Swissprot:
P09211
规格:
目录价
在线咨询
Description |
|---|
Glutathione S-transferases (GSTs) are a family of enzymes that play an important role in detoxification by catalyzing the conjugation of many hydrophobic and electrophilic compounds with reduced glutathione. Based on their biochemical, immunologic, and structural properties, the soluble GSTs are categorized into 4 main classes: alpha, mu, pi, and theta. This GST family member is a polymorphic gene encoding active, functionally different GSTP1 variant proteins that are thought to function in xenobiotic metabolism and play a role in susceptibility to cancer, and other diseases. |
References |
|---|
| 1.Int J Rheum Dis. 2019 Dec;22(12):2119-2124; 2.Int J Chron Obstruct Pulmon Dis. 2019 Sep 6;14:2081-2088. |
Specification |
|
|---|---|
| Aliases | PI; DFN7; GST3; GSTP; FAEES3; HEL-S-22 |
| Entrez GeneID | 2950 |
| Swissprot | P09211 |
| clone | 1A7B5 |
| WB Predicted band size | 23kDa |
| Host/Isotype | Mouse IgG1 |
| Antibody Type | Primary antibody |
| Storage | Store at 4°C short term. Aliquot and store at -20°C long term. Avoid freeze/thaw cycles. |
| Species Reactivity | Human |
| Immunogen | Purified recombinant fragment of human GSTP1 (AA: 2-210) expressed in E. Coli. |
| Formulation | Purified antibody in PBS with 0.05% sodium azide |
Application |
|
|---|---|
| WB | 1/500 - 1/2000 |
| IHC | 1/200-1/1000 |
| IF | 1/200 - 1/1000 |
| FCM | 1/200-1/400 |
| ELISA | 1/10000 |
Product Image
-
Black line: Control Antigen (100 ng);Purple line: Antigen (10ng); Blue line: Antigen (50 ng); Red line: Antigen (100 ng)

-
Western blot analysis using GSTP1 mouse mAb against PC-3 (1), K562 (2), Hela (3),Jurkat (4), MOLT-4 (5), HCT116 (6), and A431 (7) cell lysate.

-
Immunofluorescence analysis of Hela cells using GSTP1 mouse mAb (green). Blue: DRAQ5 fluorescent DNA dye. Red: Actin filaments have been labeled with Alexa Fluor- 555 phalloidin. Secondary antibody from Fisher (Cat#: 35503)

-
Flow cytometric analysis of Hela cells using GSTP1 mouse mAb (green) and negative control (red).

-
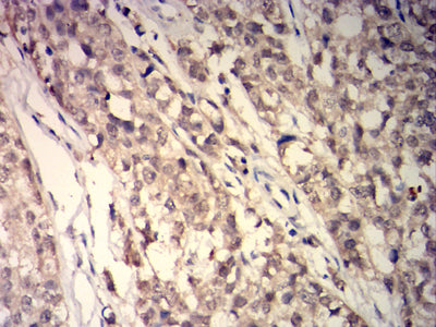
Immunohistochemical analysis of paraffin-embedded human cervical cancer tissues using GSTP1 mouse mAb with DAB staining.

-
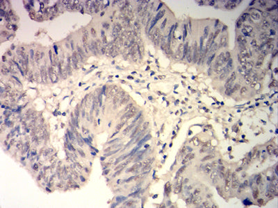
Immunohistochemical analysis of paraffin-embedded human rectal cancer tissues using GSTP1 mouse mAb with DAB staining.







鄂公网安备42018502007531号

