Mouse Monoclonal Antibody to SP17
货号:
31896
别名:
CT22; SPA17; SP17-1
应用:
IHC,FCM
反应种属:
Human
抗体类型:
Primary antibody
Swissprot:
Q15506
规格:
目录价
在线咨询
Description |
|---|
This gene encodes a protein present at the cell surface. The N-terminus has sequence similarity to human cAMP-dependent protein kinase A (PKA) type II alpha regulatory subunit (RIIa) while the C-terminus has an IQ calmodulin-binding motif. The central portion of the protein has carbohydrate binding motifs and likely functions in cell-cell adhesion. The protein was initially characterized by its involvement in the binding of sperm to the zona pellucida of the oocyte. Recent studies indicate that it is also involved in additional cell-cell adhesion functions such as immune cell migration and metastasis. A retrotransposed pseudogene is present on chromosome 10q22.[provided by RefSeq, Jan 2009] |
References |
|---|
| 1,Tissue Antigens. 2012 Dec;80(6):523-7. 2,BMC Cancer. 2018 Oct 11;18(1):970.3,Cell Immunol. 2015 Nov-Dec;298(1-2):18-24. |
Specification |
|
|---|---|
| Aliases | CT22; SPA17; SP17-1 |
| Entrez GeneID | 53340 |
| Swissprot | Q15506 |
| clone | 3G9F3 |
| WB Predicted band size | 17.4 kDa |
| Host/Isotype | Mouse IgG1 |
| Antibody Type | Primary antibody |
| Storage | Store at 4°C short term. Aliquot and store at -20°C long term. Avoid freeze/thaw cycles. |
| Species Reactivity | Human |
| Immunogen | Purified recombinant fragment of human SP17 (AA: 1-152) expressed in E. Coli. |
| Formulation | Purified antibody in PBS with 0.05% sodium azide |
Application |
|
|---|---|
| IHC | 1/200-1/1000 |
| FCM | 1/200-1/400 |
| ELISA | 1/10000 |
Product Image
-
Black line: Control Antigen (100 ng);Purple line: Antigen (10ng); Blue line: Antigen (50 ng); Red line: Antigen (100 ng)

-
Flow cytometric analysis of SK-OV-3 cells using SP17 mouse mAb (green) and negative control (red).

-
Flow cytometric analysis of Hela cells using SP17 mouse mAb (green) and negative control (red).

-
Immunohistochemical analysis of paraffin-embedded human rectal cancer tissues using SP17 mouse mAb with DAB staining.

-
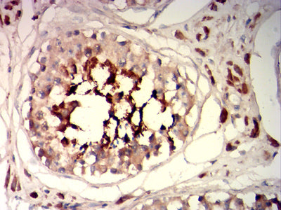
Immunohistochemical analysis of paraffin-embedded human testis tissues using SP17 mouse mAb with DAB staining.






鄂公网安备42018502007531号

